구글이나 네이버로 간초음파의 자세에 대해 검색을 해보면 국내에서도 많은 자료들이 나옵니다.
대한 내과학회지나 가정의학 학회지에서도 간초음파에 대해 비교적 자세히 소개하는 리뷰논문을 접할 수 있고, 대한 간학회 같은 지회나 대형병원 홈페이지, 심지어는 작은 의원들이 올린 홈페이지에서도 간초음파는 어떻게 하는 것이라는 소개나 각종 유의사항들에 대해 나름 자세하게 소개하고 있습니다. 당연하지만, 검색 키워드에 “자세”라는 것을 규명하고 있기 때문에 어떤 자세를 취한다는 것에 대해서도 자세히 나오고 있지요.
하지만, 구체적으로 어떤 자세를 취하는 것인지에 대해서는 출처마다 조금씩 다르게 기술하고 있다는 점은 흥미롭습니다. 어떤 논문에서는 앙와위와 좌우측 와위 세가지 자세만 소개하고 있고, 어떤 네이버 블로그에는 상체를 약간 올린 자세라고 사진을 찍어서 소개하고 있는 것도 봤습니다. 가정의학 학회지에 투고된 논문을 보면 별로 안중요할 거 같은 세세한 부분에 대해서도 자세히 규정하고 있더군요. 양 손을 깍지를 낀 상태에서 머리 위로 올리라는 말까지 나와있습니다.
하지만, 전체적으로 봤을 때 환자가 취하는 자세에 대해서는 다들 중요하다고 생각하지 않고 있는 것인지, 구체적으로 어떤 자세들이 있다는 것인지에 대해 별다른 언급을 하지 않고 있습니다. 차병원이나 아산병원같은 큰 종합병원 홈페이지에서도 누워서 검사한다는 한마디만 써놓고 있습니다.
하지만, 초음파검사에서 다양한 자세를 취하는 건 정확한 검사에 필수적인 요소입니다. 검사의 대부분을 누워있는 상태에서만 검사를 한다면 결코 제대로 된 간초음파를 하는게 불가능합니다. 적극적으로 오른쪽이나 왼쪽으로 돌아눕는 자세(측와위, lateral decubitus position)를 취하지 않으면 간의 가장 위쪽부분을 보는게 불가능한 경우가 제 경험으로는 절반 이상이었습니다(물론, 제가 일하고 있는 병원이 나이드신 분들이 많이 오는 특수성을 고려해야 합니다).
옆으로 돌아눕는 측와위 뿐 아니라 반쯤 앉아있는듯하게 몸을 올리는 semi-upright position도 정말 중요합니다. 단순히 췌장을 잘 보기 위해 필요한 게 아니라, 간이 위로 올라가서 횡격막 안으로 숨어있는 환자의 경우에서도 간을 밑으로 내리게 하는 중요한 수단입니다. 기회가 되면 이 semi-upright position의 중요성에 대해서도 이야기할 기회가 있기를 바랍니다.
다만, 제가 오늘 이 글을 쓴 목적은 이런 다양한 자세들 중에서도 엎드린 자세에 대해서는 대다수 의료진이나 출처들에서 잘 다루고 있지 않기 때문에 여기에 대해 이야기를 해보려는 겁니다. 어떤 공식적인 문헌에서도 엎드린 자세에서 간초음파를 하라는 이야기는 없습니다. 양측 신장을 관찰하기 위해 제한적으로 엎드린다는 기술들은 있지만 말입니다.
대게는 그 전에 언급했던 자세들만으로 간을 모두 볼 수 있다고 전제하기 때문에 구태여 환자에게 번거로움을 초래하면서까지 엎드리는 자세를 요구하지는 않는게 좋다고 여길겁니다. 그럼에도 불구하고, 제가 간초음파를 하면서 환자에게 엎드리는 자세를 취하도록 하는 이유는 세가지입니다.
첫째는 간초음파가 딱 간만 보는게 아니기 때문입니다. 간초음파라 해도 쓸개, 췌장, 비장과 양측 신장을 같이 봐주고 있습니다. 이럴 때 양측 신장과 비장은 단순히 누워있는 자세로는 보기가 불가능한 경우가 정말 많죠. 양옆으로 돌아눕는 측와위자세가 필수입니다. 특히, 비장은 간보다 크기가 훨씬 작고 바로 옆에 위장이 존재하기 때문에 누운 자세에서는 전체 부분을 보는게 거의 불가능하다고 할 수 있습니다. 물론, 왼쪽 신장도 그렇습니다.
그렇게 양쪽 측와위자세를 취하는 번거로움을 감수할 바에는 차라리 좌측 측와위 및 엎드린 자세로 검사하는게 검사하는 입장이나 검사를 받는 입장에서나 오히려 더 편할 수 있습니다. 그리고, 제 개인적인 경험이지만, 엎드려있는 상태에서 보는게 우측 측와위 자세보다 비장 및 좌측 신장이 더 잘 보이더라구요.
둘째는 간을 더 잘 보기 위해서입니다. 특히나 간의 가장 윗부분인 횡격막 바로 아랫부위를 보는데 엎드린 자세가 우측 측와위 자세보다 더 요긴할 때가 있습니다. 실제로 간의 가장 윗부분에 있던 조그마한 혈관종을 누워있는 자세나 좌측 측와위 및 반쯤 일어난 자세에서 전혀 발견을 못하다가 마지막으로 엎드린 자세에서 선명하게 병변을 발견했던 경험이 있습니다.
마지막 세번째는 쓸개와 담도등을 정확히 보기가 어려운 경우에 엎드린 자세가 이들의 위치를 살짝 틀어지게 해서 잘 보여주기도 하기 때문입니다. 이 세가지 경우를 다 이야기하려면 글이 길어지기 때문에 쓸개가 자세에 따라 어떻게 변하는지를 영상으로 보여드리겠습니다.
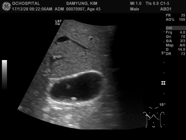
왼쪽 사진은 간초음파 시행중 쓸개에 작은 고에코병변이 보여서 촬영한 겁니다. 이것만 가지고는 작은 담석인지, 폴립인지 구분이 어려워 좌측 측와위자세를 취한 후 등을 한참 두드려서 병변의 이동여부를 확인한 게 오른쪽 영상입니다. 아까 봤던 병변과는 전혀 다른 고에코음영의 병변이 하나 더 다른 부위에서 관찰됩니다. 좌측측와위자세를 취했음에도 병변은 중력과는 전혀 상관없는 위치에 존재함으로 봐서 폴립으로 판단했습니다.

그리고, 이 영상이 환자를 엎드리게 해서 우측 posterior axillar portion에다 탐촉자를 대고 쓸개쪽으로 intercostal approach로 스캔한 영상입니다. 이 영상을 얻기 전까지 앞서의 고에코 병변을 네 개 정도 발견한 상태였는데, 이 영상 하나에서만 예닐곱개 이상의 많은 고에코음영의 폴립들을 확인할 수 있습니다. 물론, 탐촉자와 쓸개까지의 거리가 멀어서 해상도는 떨어지지만, 앞서의 자세에서는 보이지 않던 병변들이 추가로 여러개 발견되었다는 건 시사하는 바가 큽니다.
왜 이런 현상이 발생했는가를 추측하자면, 간이 쓸개를 위에서 부드럽게 덮고 누르면서 쓸개 전체를 둘러싸기 때문에 쓸개의 일부분만을 덮게 되는 좌측측와위나 앙와위때보다 더 양호한 환경을 조성하게 되는게 아닌가 싶습니다.
이렇게 앙와위나 좌측 측와위에서만 검사를 하면 미처 못보고 넘어가는 병변들이 분명 존재하고, 그런 병변들 중 일부는 이렇게 약간만 수고를 더하면 쉽게 확인이 가능하다는 건 그냥 무시하고 넘어갈 일은 아니라고 생각합니다. 다들 이런 부분에 대해서 고민해보는 것이 환자를 위해서도 필요한게 아닌가 하는 제안을 해봅니다.