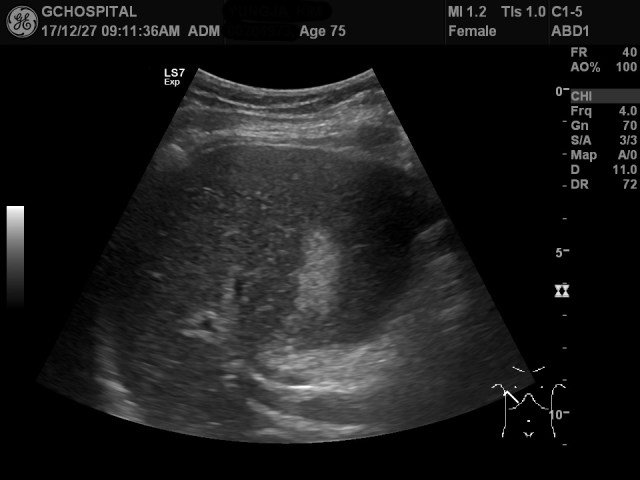
75세 남자환자로 우상복부 통증과 고열을 주소로 내원했습니다. 초음파상 위와 같이 쓸개 내에 결석이 보이고, 쓸개벽이 두꺼워져 있었으며, 전형적인 머피 사인이 보여 급성 담낭염으로 진단하고 내과에서 입원치료중이었습니다.

문제는 이 초음파를 시행하면서 심한 압통과 환자의 비협조로 인해 간의 지붕쪽을 확실하게 체크를 하지 못하고 넘어갔던 점입니다. 위 영상이 간의 지붕부위를 체크한 영상인데, 다시 보면 간실질이 또렷하게 보이지는 않았음에도 불구하고, 일단 주된 증상에 대한 진단이 내려졌기 때문에 방심하고 검사를 끝냈던 것 같습니다.

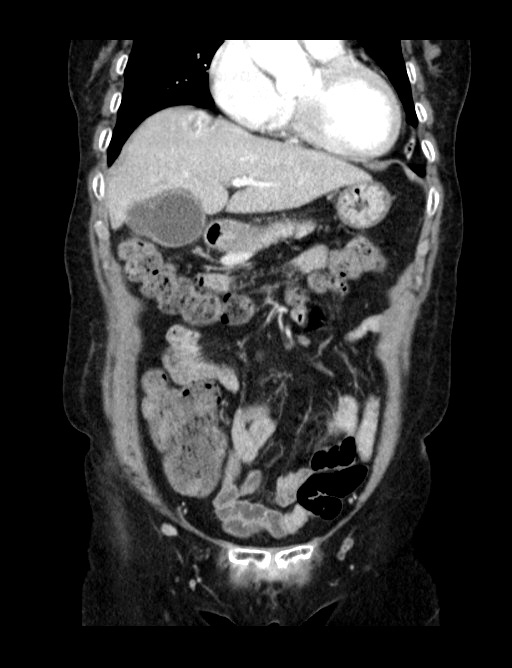
그 다음날 내과에서 CT를 의뢰해서 촬영한 영상입니다. 간의 지붕부위에 혈관종이 떡하니 자리를 잡고 있더군요. 물론, 이렇게 혈관종인 경우야 환자에게 별다른 의미는 없겠습니다만, 초음파검사를 진행할 때 술자가 얼마나 주의깊게 이런 난해한 부위를 확인하려고 하느냐 아니냐에 따라 혈관종이나 단순낭종이 아닌 초기 간암같은 치명적인 병변을 놓치게 될수도 있을겁니다. 환자가 통증때문에 제대로 검사에 협조하기 어려웠던 점을 감안해 검사를 완전히 끝내지 못했다는 언급만 했더라도 검사하는 의사로서는 최선을 다했다고 말할 수 있었지만, 그걸 못한 점은 저도 변명하기 어려운 오점이라고 생각합니다.
이렇게 제 실패사례를 올리는 것도 어떤 분들에게는 도움이 될 수 있겠다 생각해서 부끄러움을 감수하고 올려봤습니다.
눈팅만하다..댓글남깁니다. 선생님의 열정에 많이 배우고 공부합니다.^^
감사합니다. ^^