
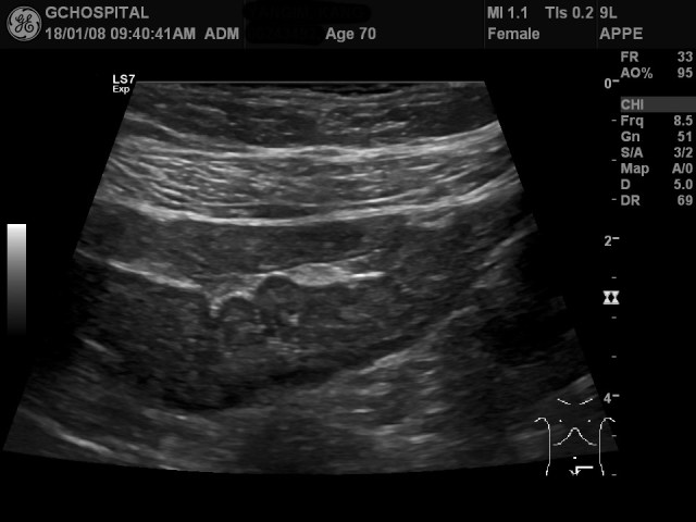
70세 여자환자였고, 며칠동안 지속된 복부전반의 심한 복통을 주소로 응급실에 내원한 후, 기질적인 장내질환들의 가능성을 확인하기 위해 장초음파를 의뢰한 케이스입니다. 장초음파에서 탐촉자를 눌렀을 때 환자가 원래 느끼던 전반적인 복통(pain)에서 좌하복부의 심한 압통(tenderness)으로 증상이 약간 변하면서 해당부위에는 sigmoid colon이 전반적으로 수축되 있으면서 벽두께가 3.0밀리미터정도로 측정되었습니다.
일반적인 대장의 벽두께는 3밀리미터 내로, 장벽의 두께이상은 4밀리미터 이상부터로 정의합니다. 그러므로, 이는 정상수치라고 할수도 있었지만, 압통이 해당부위에 존재했고, 다른 부위의 대장이나 소장의 벽두께보다는 조금 더 두꺼웠다고 판단해서 normal thickness가 아닌 “borderline thickness”가 S결장에 의심되며, infectious, or inflammatory colitis의 가능성을 약하나마 배제하기 어렵다고 판독했었습니다.
환자는 입원 후에도 정상적인 거동이 어려울정도의 통증을 계속 호소하고 있지만, occult blood test, CBC, CRP 등 다른 여타검사에서 아무런 이상소견을 보이지 않았습니다. 생명징후 또한 감염이나 염증에 의한 체온상승같은 이상소견은 없었습니다.

환자의 심한 통증의 원인으로 짐작할만한 건 제가 했던 장초음파에서의 S결장의 borderline wall thickening 밖에 없는 상태에서 S결장과 여타 위장관을 추적관찰하기 위해 초음파영상을 찍은 다음날 CT촬영을 한 것이 위 영상입니다.
화살표 부위가 초음파영상에서 보였던 S결장의 수축과 borderline wall thickening을 의심한 부위이지만, CT영상에선 S결장의 수축만 보이고, 벽두께의 증가는 보이지 않습니다. 다른 부위에서도 자궁의 근종외에 다른 이상소견은 안보였습니다.

잠복혈검사에서도 WBC, RBC 모두 검출되지 않았고, 마지막으로 rectosigmoidoscopy를 시행했지만 점막에 염증이나 허혈성변화, 암과 같은 병리소견은 전혀 보이지 않고 정상이었습니다.
이렇게 여러가지 검사들이 정상으로 나왔음에도 여전히 환자의 복통은 호전이 없이 입원을 이어가고 있는 상태인지라 내과에서는 과민성 장 증후군, 즉 irritable bowel syndrome으로 잠정 결론을 내린 상태입니다.
돌이켜보면, 환자의 심한 통증과 해당부위의 압통 때문에 S결장의 수축에 의해 정상적인 벽두께가 두껍게 평가될 수 있다는 사실을 과소평가한 것이 많은 아쉬움을 남긴 사례 같습니다. 물론, 환자의 증상이 심하고, 입원해서 여러 조치를 취했음에도 여전히 호전되지 않았기 때문에 뒤이는 여러 검사들은 초음파에서 특이소견이 없다고 언급했음에도 결국 시행될 수 밖에 없었을 것이나, 마지막에 rectosigmoidoscopy까지 해서도 아무런 병변이 보이지 않았던 것을 확인한 다음에는 못내 허탈하다는 느낌도 듭니다.
항상 정확한 판단에 여러가지 혼란을 줄수 있는 위험한 정보들에 흔들리지 않기 위해서는 항상 많은 고민과 성찰이 필요하다는 교훈을 준 오늘의 사례였습니다. 특히, 장이 완전히 수축되어서 쪼그라든 상태에서는 벽두께를 측정하지 않는게 원칙임에도 해당부위의 regional tenderness 때문에 섯불리 예단해서 판독을 한 점은 제가 잘못한 부분이라고 인정해야겠죠. 앞으로는 이러지 않도록 반성을 합니다.
지금 돌이켜 생각해보니 환자가 해당부위에 훨씬 심한 압통을 호소했던 건, 과민성 장 증상으로 인해 S결장의 해당부위에 심한 장 경련이 일어나고 있는것 때문이 아닌가 생각이 되네요. 다음에도 이런 경우를 접한다면 더욱 유의해서 판단해야겠습니다.