
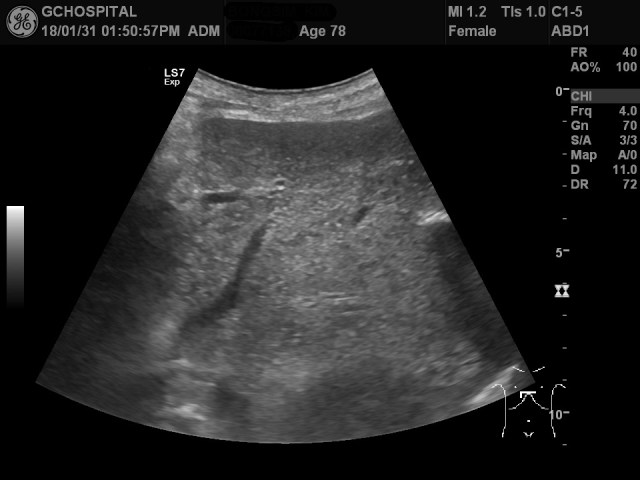
나이드신 분들 중에서 흔하게 보이는 근감소증(sarcopenia)이나 악액질(cachexia) 등의 이유로 위의 사진처럼 비쩍 마른 환자분을 간초음파 검사를 할 때에는 뚱뚱한 환자들보다 오히려 더 까다롭고 시간이 많이 걸릴뿐 아니라 정말 조심해야 하는 경우가 많습니다.

실제로 이 환자분은 탐촉자를 늑골 아래로 위치해서 접근하려 해도 늑골과 배 사이가 움푹 들어가 있기 때문에 탐촉자가 제대로 밀착될 수 없습니다. 그렇기때문에 위와 같이 굉장히 제한적인 영역만 관찰이 가능했습니다.
결국, 이 환자는 늑골 밑으로 접해서는 쓸개를 확인하는게 불가능했기 때문에 늑골 사이로 접근해서 영상을 얻을 수 밖에 없었습니다.

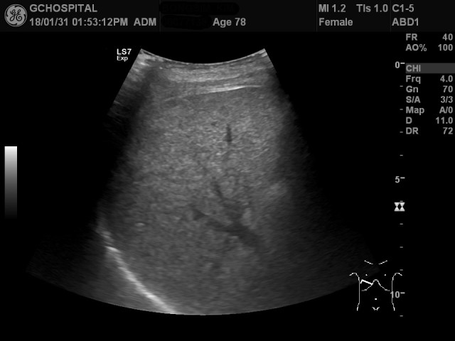
심한 지방간이 있었지만, 간실질의 깊은쪽 부분을 확인하는 것은 어렵지 않았으나, 간의 지붕부위를 확인하느게 쉽지 않았으며, 위 영상정도를 얻는게 최선이었습니다. 이 환자분의 경우에는 좌측 측와위자세에서보다 오히려, 누워 있는 자세에 간의 지붕부위를 더 쉽게 확인할 수 있었습니다.
간의 지붕부위를 좀 더 관찰하기 위해 엎드리게 한 상태에서 얻은게 위의 두 영상입니다. 앞서 누워있는 상태에서도 간의 지붕부위를 거의 다 확인할 수 있었지만, 엎드려서 얻은 영상이 확실히 더 깔끔하게 횡격막윤곽 전체를 포함해서 간의 지붕부위를 보여주고 있습니다.
이렇게 고령의 환자분들의 경우에는 젊고 건장한 환자들보다 더 많은 시간과 노력을 들여서 검사해야만 간의 지붕부위를 비롯한 간담도계의 장기들을 확인하는게 가능합니다. 결국, 조금 더 집요하게 확인이 안된 부위가 있었는지 체크하고 다양한 시도를 할 때에만 충분히 확인해봤다고 자부할 수 있는 검사가 가능한 것입니다. 수학에는 왕도가 없다는 말처럼, 초음파 영상진단에도 왕도가 없다는 것을 새삼 느끼게 해주었던 사례였습니다.