
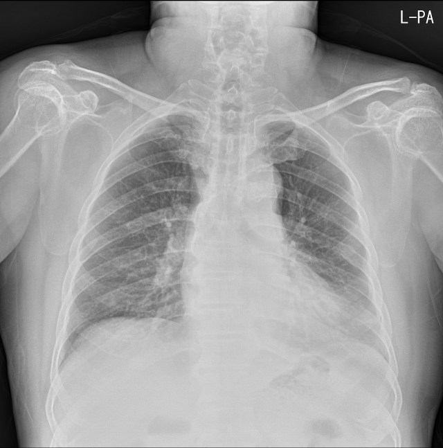
65세 남자환자로 기침과 가래 및 청진상 호홉잡음이 들려 촬영한 단순흉부X선영상입니다. 좌측심장경계가 분명하지 않은 반면, 횡격막윤곽은 비교적 뚜렷하게 보여서 좌측폐 설상엽에 병변 가능성이 의심됩니다.

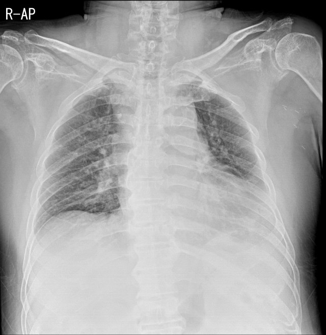
환자는 발열과 함께 증상이 심해져서 입원해서 누워있는 상태로 chest AP view영상을 촬영했습니다. 늑막삼출이나 다른 병변은 보이지 않고, 앞서 보였던 좌측심장경계의 소실 소견은 여전히 보이면서, 좌측 횡격막경계도 희미하게 보입니다.

단순촬영에서 확인되는 심장경계소실의 원인을 확인하기 위해 CT를 촬영했습니다. 폐경결이나 종괴 같은 병변은 보이지 않았으며, 심장의 양 옆쪽으로 지방조직(epicardial fat)이 자라나 있었습니다. 좌측 심장경계가 소실된 이유는 이 심장 옆에 위치한 지방조직에 의한 실루엣징후 때문이었던 겁니다.
최근에는 기본적인 단순흉부영상 촬영시에는 Chest PA view만을 찍고, lateral projection film은 필수적인 영상으로 선택하지 않는것을 권합니다. 이번 사례에서는 임상적으로 발열과 호홉잡음이 있었기 때문에 폐렴의 가능성을 강력히 의심해서 임상에서 CT를 의뢰했던 것이지만, 그 전에 lateral projection film을 촬영했다면 CT를 촬영하지 않아도 되지 않았을까 하는 아쉬움이 남았던 사례였습니다.