

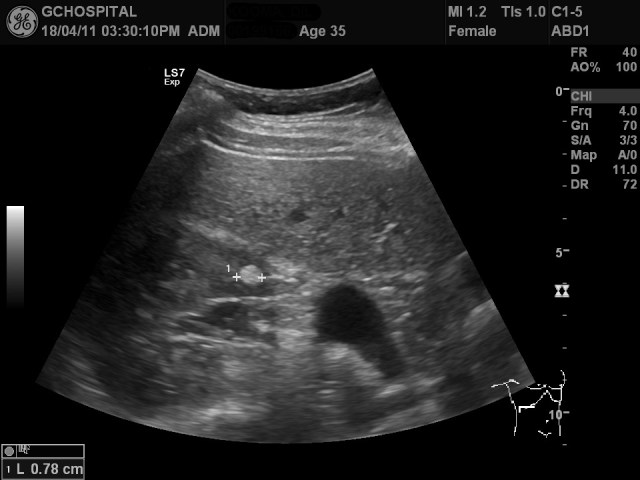
건강검진차 초음파를 시행한 35세 남자환자의 우측 신장에 8밀리미터 크기의 경계가 분명한 고에코음영이 발견되었습니다.
이렇게 1센티미터 이하의 작은 고에코 결절이 신장에 보이면 가장 유력한 가능성이 양성종양의 일종인 angiomyolipoma(AML)입니다. 하지만, 신세포암(renal cell carcinoma)도 크기가 작으면 고에코음영을 보이기 때문에 그 가능성을 배제할 수는 없어 감별이 필요합니다.
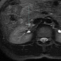
이 경우, 결절 내부에 fat component가 존재하는지를 확인하는게 필요하고, 이를 위해서 fat-suppression MRI영상이 필요합니다.


횡단면 fat-suppression 영상에서 크기가 작고, 신호강도가 강하게 fat-suppressed된 저신호강도의 병변이 초음파영상에서 결절이 확인된 부위와 일치한 곳에서 보입니다. 결절 내부에 지방이 풍부하게 포함되있다는 것을 의미하므로, renal cell carcinoma가 아닌 양성 angiomyolipoma 로 진단할 수 있는 사례입니다.
위 영상에서 보이듯이 감별진단과 내부 성분조성을 확인하는 데는 자기공명영상(MRI)이 유리하지만, 해상도가 떨어지므로 크기가 작은 결절의 발견과 모양을 확인하는데는 초음파영상이 훨씬 중요한 역할을 합니다.
건강검진 목적으로 시행하는 초음파는 주로 간을 보려는 경향이 있습니다. 보험공단에서는 신장을 확인하지 않고 간과 쓸개, 담도만을 확인해도 수가를 지불하기 때문입니다. 하지만, 이렇게 1센티미터 이하의 작은 결절이 신장에서 발견되는 경우는 상당히 흔한 상황이고, 감별진단을 위해서 MRI등 다른 영상진단이 필요한 경우가 많기 때문에 이런 결절의 발견을 염두에 두고 신장을 주의깊게 확인하는 것이 반드시 필요하다고 생각합니다.