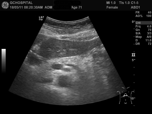
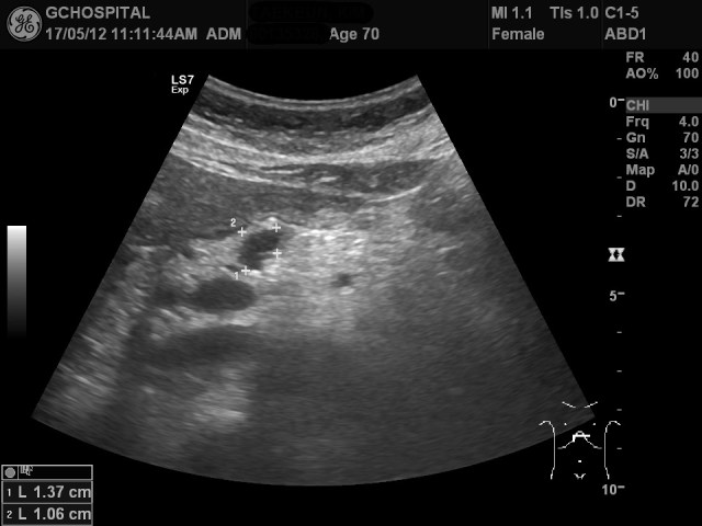
71세여자환자의 복부초음파영상입니다. 췌장의 머리와 몸통 사이쪽에 약 1.4센티미터 크기의 낭종이 있으며, 예전부터 이 낭종을 계속 추적관찰해오셨습니다.

계속된 추적관찰 과정에서 앞서 보였던 단순낭종 외에 췌장 내에 별다른 병변은 보이지 않았습니다. 위 영상에서 췌장의 몸통과 꼬리부분이 잘 보이고 있습니다.

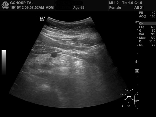
올해에도 췌장낭종의 추적관찰을 위해 내원하셔서 췌장부위를 촬영한 게 위의 영상입니다. 그런데, 영상에서 췌장낭종이 확인되지 않고 있습니다.

뿐만 아니라 췌장의 꼬리부위에 흐릿하게 저에코음영이 있는것처럼 보이기도 합니다. 과연, 췌장에 저에코의 종괴나 췌장염과 같은 병변을 의심해야 하는걸까요?

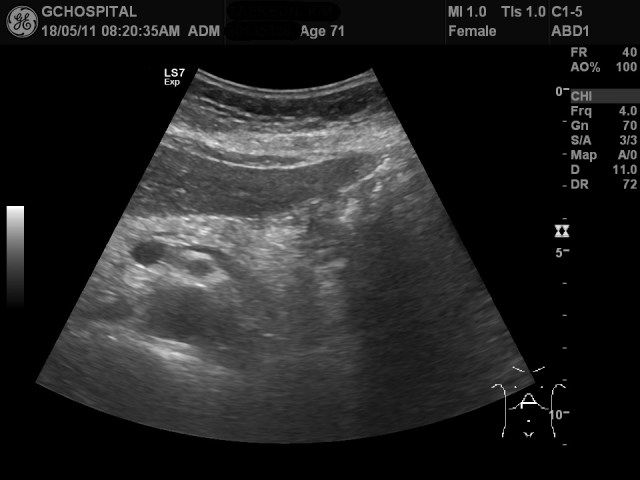
위 영상은 같은 시간이 지난 후에 다시 부른 후 환자의 자세를 semi-upright position으로 하고, 호홉을 조절하면서 다시 촬영한 영상입니다. 예전부터 보였던 췌장낭종을 선명하게 확인할 수 있습니다. 예전과 모양과 크기에 별다른 변화는 없었습니다.

췌장의 꼬리부위에서 의심스러웠던 저에코음영도 이번에는 전혀 보이지 않았으며, 전체적으로 균일한 에코음영의 췌장실질을 확인할 수 있었습니다.
이처럼, 췌장은 그때그때 환자의 컨디션이나 자세변화에 따라 다양한 인공물을 보일 수 있기에 촬영에 특히 주의해야 합니다. 췌장의 윤곽이 찍힌 사진을 한장 찍고 서둘러 끝낼 것이 아니라, 췌장의 머리쪽은 위아래부위 모두를 확인해야 하고(췌장낭종은 췌장 머리의 윗쪽에 위치하고 있었습니다) 췌장 내부에 병변이 있는것처럼 보이더라도, 항상 인공물의 가능성을 배제하지 않고 다른 자세나 각도에서 다시 한번 확인하는 습관을 들이는게 필요하다고 봅니다.