
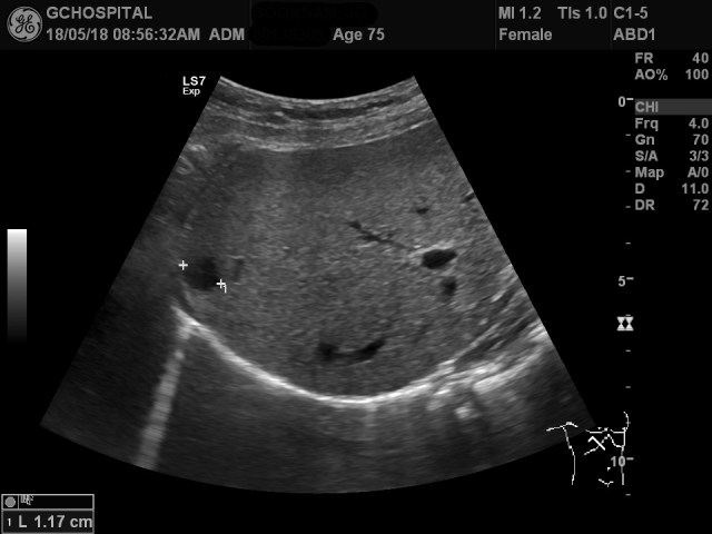
75세 여자 환자로 건강검진을 위해 초음파를 시행 중, 간의 지붕쪽에 1센티미터 크기의 단순낭종을 발견했습니다.
이 단순낭종을 발견한 당시 환자는 좌측 측와위자세를 취하고 있었습니다.
그런데, 환자가 엎드린 상태에서는 해당 단순낭종이 전혀 보이지 않습니다. 간의 지붕부위는 앞서의 좌측 측와위자세보다 훨씬 뚜렷하게 관찰할 수 있었지만, 간의 지붕쪽에 있던 단순낭종을 확인하는 건 불가능했습니다. 평소 누워있는 자세와 좌측 측와위 및 엎드린 자세 모두에서 간을 중복해서 확인하고 있는데, 해당 단순낭종은 오로지 좌측 측와위에서만 관찰할 수 있었던 겁니다.
환자는 같은 날 CT도 촬영했으며, 간의 지붕부위에 있었던 단순낭종은 위 영상과 같이 확인할 수 있었습니다.
간초음파영상에서 다양한 자세에서 간을 확인하다 보면, 이렇게 좌측 측와위에서만 간의 지붕부위에 있는 병변을 발견하는게 가능하기도 하고, 어떤 환자에서는 엎드린 상태에서만 간의 지붕부위를 확인할 수 있기도 합니다.
다른 부위의 초음파영상도 마찬가지겠지만, 특히 간초음파를 시행하는 분이라면, 이렇게 다양한 자세에 간의 구석구석을 중복해서 주의깊게 확인하는 것이 병변을 놓치지 않는 가장 확실한 방법이라는 것을 항상 잊지 말아야 할것입니다.