

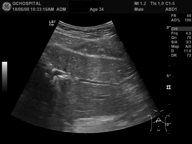
34세 남자 환자로 건강검진 목적으로 내원하여 간초음파를 시행하였으며, 특이소견은 보이지 않았습니다. 위의 두 영상은 간 좌엽을 촬영한 것으로, 환자의 양쪽 흉곽 사이가 좁아서 탐촉자가 잘 들어가지 않아서 횡단면 영상을 얻기가 어려웠습니다.

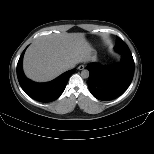
이 환자는 폐암의 선별검사를 위해 low-dose chest CT도 같이 시행하였는데, 초음파영상에서는 발견하지 못했던 저음영의 단순낭종을 간좌엽 윗부분에서 발견하였습니다.
이번 사례에서처럼 초음파영상 중에는 간좌엽을 별다른 지장 없이 다 확인했다고 믿고 넘어갔으나, 다른 검사에서 미처 발견하지 못했던 병변을 발견하는 경우가 종종 발생합니다. 특히 간 좌엽의 윗부분은 윗쪽 종격동의 fat tissue와 stomach gas shadow와 같이 초음파 빔의 진행을 방해하는 구조물들이 많기 때문에 간 우엽의 지붕부위 못지 않게 주의를 기울여야 하는 부위입니다.
이런 사례를 교훈삼아 간초음파영상 촬영시에 주의를 기울여야겠다 다시 한번 다짐해 봅니다.