81세 남자가 건강검진을 위해 간초음파를 시행했습니다.

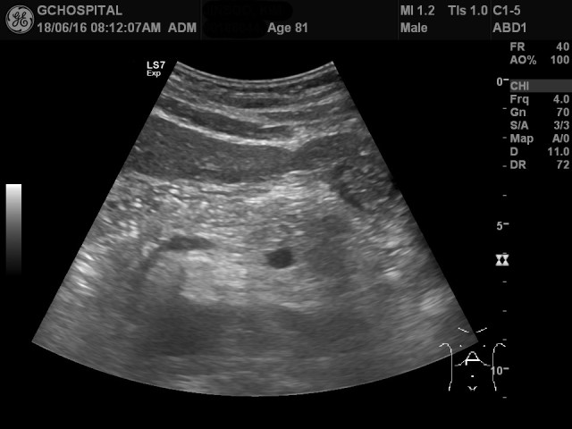
그런데, 췌장의 모양이 좀 이상합니다. 췌장의 머리와 몸통 모양이 잘 그려지지 않고, splenic vein 및 portal vein의 모양이 좌우가 뒤바뀌어 있습니다.

췌장의 위쪽에 있을 간 좌엽의 형태도 이상합니다. 간 좌엽에서 보여야 하는 좌측 간문맥이 정상적인 모양이 아닙니다.

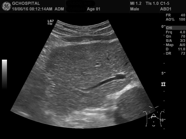
쓸개도 처음에는 찾지 못했는데, 나중에 간의 거의 왼쪽 끝부분에서 발견할 수 있었습니다.

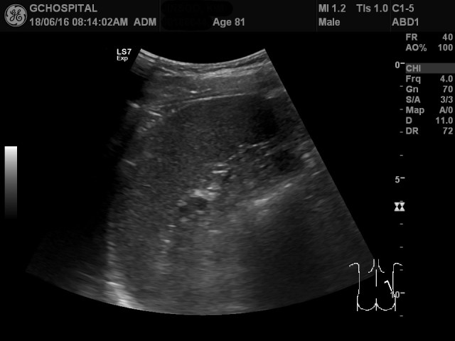
그런데, 엎드린 상태에서 오른쪽 옆구리를 확인하니 전형적인 비장의 형태가 확인되었습니다.

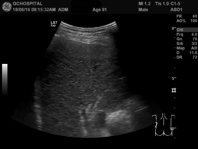
반대로 왼쪽 옆구리에서는 전형적인 우측 간문맥의 형태를 확인할 수 있었습니다.
결론적으로 뱃속의 장기의 좌우 위치가 바뀌는 situs inversus 위치이상 환자였습니다. 이러한 위치 이상 자체는 별다른 증상이 없고, 진단도 어렵지 않지만 막상 초음파검사를 통해서 처음 접할 때에는 혼란을 느낄 수 있기 때문에 이번 사례를 통해 미리 익숙해지는 것이 의미가 있을거라 기대합니다.