다이나믹 레인지(dynamic range)의 중요성

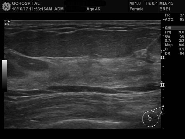
00127861_US_20181017354_20181017_002

건강검진을 위해 내원하신 분의 유방초음파 영상입니다. 지방조직과 유방실질의 에코음영은 서로 명확하게 구분이 되지만, 유방실질 내에 유도과(mammary duct)나 지방조직의 fat lobule사이에 존재하는 막은 잘 보이지 않습니다.

영상의 오른쪽에 보면 parameter가 적혀있는데, dyamic range가 84데시벨로 맞춘 영상입니다.

00127861_US_20181017354_20181017_001

이 영상은 같은 환자의 같은 곳을 촬영하되, dynamic range와 게인 값만 다르게 해서 얻은 영상입니다.

표층에 있는 지방조직의 음영은 굉장히 낮아져 있어서 해당부위에 작은 병변이 있더라도 놓치고 넘어가기 쉬울 정도입니다.

반면, 유방조직 내에 존재하는 세세한 구조물들과 위쪽의 영상에서는 잘 구분되지 않았던 유방조직 내부에 존재하는 지방조직(intralobular fat tissue)등이 훨씬 더 또렷하고 선명하게 대비됩니다.

게인값을 56에서 51로 낮추면서 상대적으로 에코가 높고 화면에서 밝게 보이는 유방조직을 적절한 밝기로 보여주는 것도 좋은 영상을 만드는데 공헌한 게 맞지만, 다이나믹 레인지를 좁혀서 조직 안에서의 대조도를 높인 것이 적절한 게인값이 공헌한 것보다 훨씬 많은 역할을 하고 있습니다.

이렇게 다이나믹 레인지를 좁히면, 구분하기 어려운 작은 구조물들이 더 또렷하고 선명하게 보이는 효과를 기대할 수 있습니다. 반면, 그 반대급부로는 영상에 보이는 다양한 구조물들을 전체적으로 조망하는 데는 불리할 수 밖에 없겠죠. 아래 영상에서 유방조직의 내부구조는 선명하게 보이는 반면, 지방조직은 훨씬 음영이 떨어지면서 지방조직 내부의 구조물들을 확인하는 것은 훨씬 어려워 지고 있는 것이 그 점을 잘 보여주고 있습니다.

좋은 영상이라는 건 특정한 상황이나 목적에 잘 부합하는 영상을 의미하는 것이지 절대적인 잣대가 존재하는게 아닙니다. 유방초음파를 시행하는 내내 전체적인 조망이 필요하다면, dynamic range를 조금씩 높여서 보고, 특정한 부분의 세세한 구조물들이나 작은 병변을 선명하게 조망하기 위해서는, 해당 부위가 잘 보이는 적절한 게인값을 맞춰 놓은 다음, dynamic range를 줄여서 보는게 적절합니다.

다이나믹 레인지(dynamic range)의 중요성”에 대한 3개의 생각

  1. (주소는 공개되지 않습니다)의 아바타 (주소는 공개되지 않습니다)

    영상의학과 전공의입니다. dynamic range 찾다가 왔습니다. 좋은 글 감사합니다. CT의 window width와 비슷한 개념으로 생각해도 될까요?

댓글 남기기