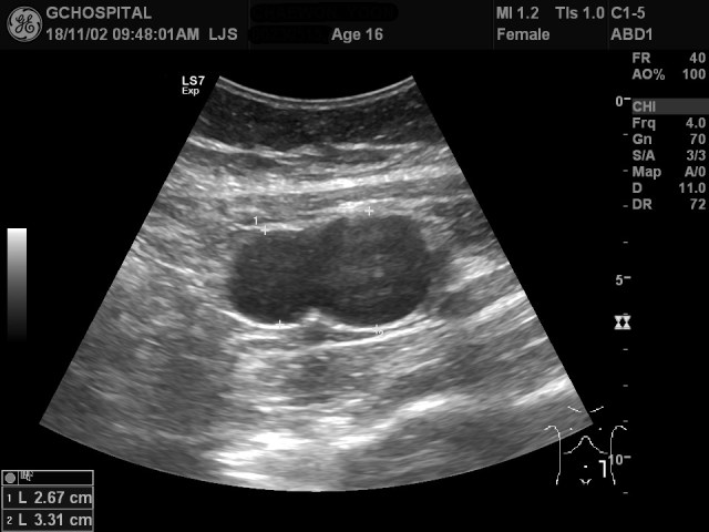
16세 여자 환자로 왼쪽 옆구리의 불편감을 호소해서 초음파 시행하였습니다.

하행결장의 외측에 bilobulated cystic lesion이 보입니다. 한 쪽은 무에코음영이지만, 다른 한쪽의 낭종부위에는 약간의 에코음영이 보입니다. 병변의 전체부위에서 후방에코강조(posterior acoustic enhancement)가 뚜렷하게 보여 낭성병변으로 판단했습니다.
해당 부위를 탐촉자로 눌렀을 때 압통을 보였고, 하행결장과 붙어있어보여서 duplication cyst, lymphangitic cyst 등을 의심해서 CT를 시행했습니다.


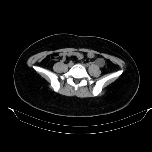
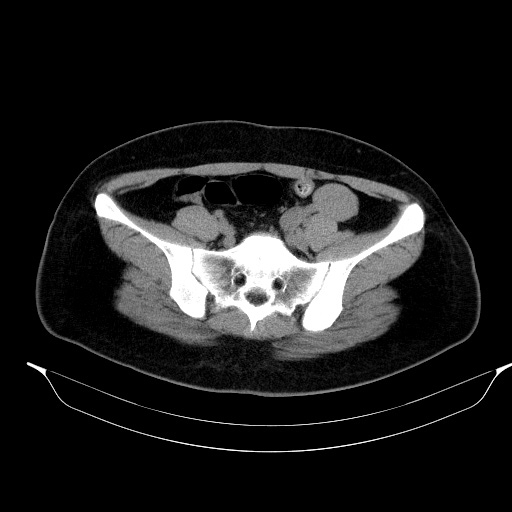
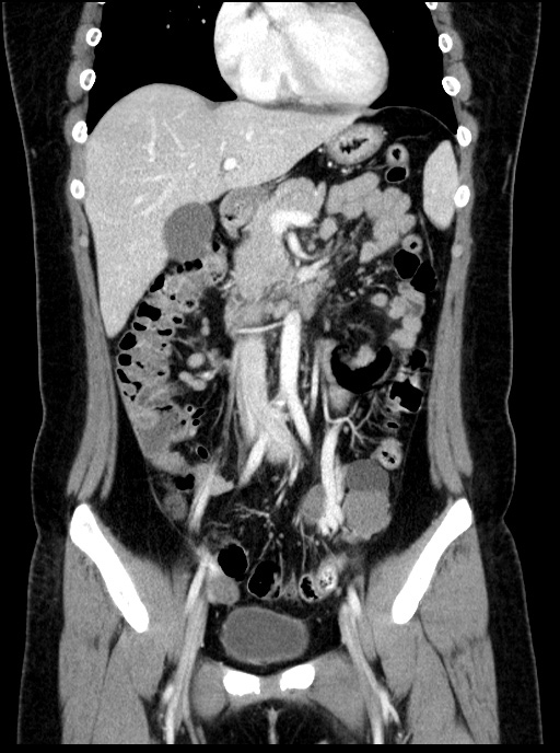
조영증강 전 영상에서 병변의 위쪽과 아랫쪽의 감쇄도(attenuation)가 다름을 알 수 있습니다.


조영증강 후 영상에서 각 부위에서 뚜렷한 조영증강은 보이지 않았습니다.
초음파영상에서 보였던 낭성병변은 CT에서는 하행결장과 뚜렷하게 떨어져 있었기에 duplication cyst는 배제할 수 있으며, lymphangitic cyst의 가능성도 떨어져 보입니다. 해당 병변은 Lt. adnexal region에 있는 병변으로 생각됩니다.
조영증강이 되지 않고, 초음파에서 무에코음영을 보인 부분은 단순낭종으로 생각할 수 있습니다. 초음파영상에서 약간의 에코음영이 보였던 부위는 조영증강이 되지 않은 대신 균일한 연부조직음영을 보여 낭종 내에 출혈 가능성을 배제하기 어려웠습니다.


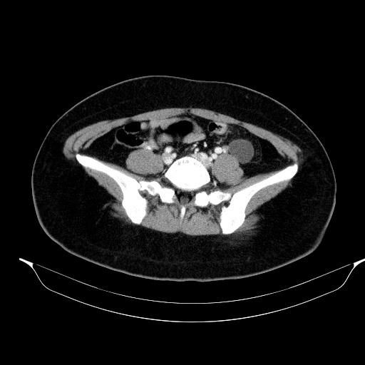
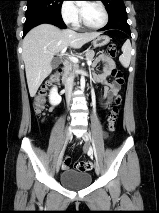
관상면 영상에서 해당 병변은 확실히 Lt. adnexal region의 병변입니다. 여기에 더해 좌측 tube가 함께 두꺼워져 있습니다. 이렇게 tubal thickening이 있으면서 주변에 염증반응이나 조영증강소견이 동반되지 않는 경우는 ovary torsion의 가능성을 배제할 수 없습니다.
환자는 대학병원으로 전원해서 수술 후 torsion 소견이 확인되었으며, Lt. adnexal region의 병변의 정체는 조직검사를 했으나 아직 결과가 나오지는 않았다고 합니다.
이번 증례에서 어려웠던 점은 두 가지입니다. 하나는 좌측 난소가 대장보다도 외측에 존재해서 adnexal origin pathology의 가능성을 추론하기가 어려웠던 점이고, 다른 하나는 에코가 매우 낮은 고형성병변이 초음파영상에서 후방에코증강까지 보여서 낭종성 병변이라고 예단하게 된 점입니다. 처음 초음파영상에서 낭종성 병변이라고 예단하지 않고 아주 약하지만 에코음영이 존재한다는 점에 주목했다면, 좀 더 빠른 감별진단이 가능했을 수도 있지 않았나 생각해봅니다.