
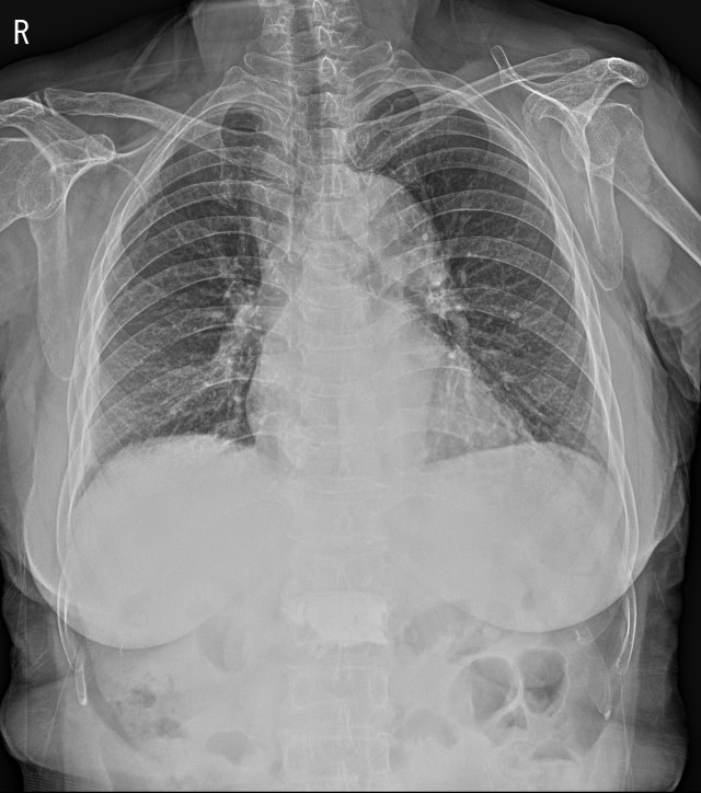
80세 할머니가 3일 전에 넘어지셨다고 합니다. 넘어진 후로 왼쪽 가슴이 아팠지만, 그냥 참고 있다가 통증이 점점 심해져서 내워하셨습니다. 흉부 x선 영상에서는 뚜렷한 이상소견은 보이지 않습니다.
넘어진 과거력에 왼쪽 가슴에 통증이 있기에 늑골 골절의 가능성을 의심해서 Rib series를 촬영했습니다. 꼼꼼히 봐도 아무런 골절의심소견이 보이지 않습니다.
하지만, 환자분이 계속 통증이 심해지고 있다고 하시고, 뚜렷한 압통을 호소하고 계시기 때문에 흉벽 초음파를 실시했습니다.
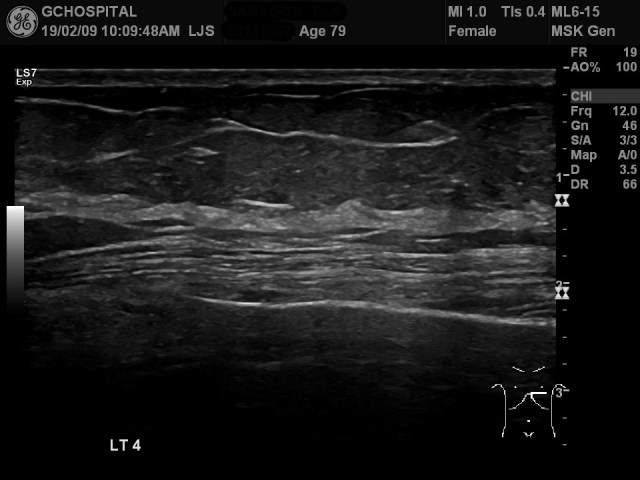
왼쪽 4번째 늑골 말단부입니다. 희미하지만, 피골의 불연속성과 함께 subperiosteal hemorrhage를 관찰할 수 있습니다. 약간 눌렀을 때 심한 압통과 함께 골절부위가 벌어지는걸 확인할 수 있었습니다. 전형적인 늑골골절이고, bone fragment가 떨어져 있는 complete fracture 였습니다.
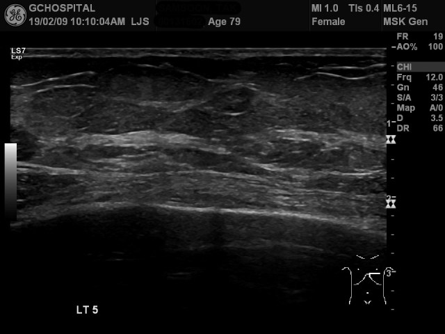
왼쪽 5번째 늑골에서는 더 뚜렷하게 bone cortex가 끊어져 있으며, subperiosteal hemorrhage의 양도 네번째 늑골보다 더 많습니다. scaleneus anterior muscle이 출혈에 의해 벌어져서 위로 밀려나있는 양상도 더 뚜렷하게 보입니다.
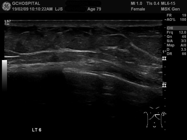
6번째 늑골에서는 골절이 훨씬 더 뚜렷하고, bone fragment가 별도로 힘을 주지 않은 상태에서도 확실히 벌어져 있습니다. 앞서 5번째 늑골에서도 힘을 줬을 때 많이 움직이고 있었기 때문에, 5,6번 늑골 모두 완전골절입니다.
왼쪽 7번째 늑골에서는 피골의 불연속성이 희미해서 금방 골절을 확인하기 어려웠습니다. 하지만, 해당 부위에서 환자의 압통이 심했던 데다, 힘을 주면 늑골 모양이 angular deformity를 보였기 때문에 골절로 확인할 수 있었습니다.
처음에 환자분은 단순히 넘어졌다고 말씀하셨지만, 이렇게 골절이 4군데나 있다고 알려드리면서 정말로 단순히 넘어진 게 맞느냐고 물어보자 그제서야 “가슴을 주먹으로 맞아서 쓰러졌다”라는 말씀을 하셨습니다. 초음파를 위해 저에게 오시기 전까지 임상 의사에게도 이런 말을 안하시다가, 골절을 확인하자 이렇게 말을 바꾸셨던 겁니다.
교훈 1. 단순촬영으로 늑골골절의 가능성을 확인하려는 기대나 태도는 버려야 합니다. 심지어는 CT로도 발견을 못하고 놓치는 경우가 부지기수입니다. 이렇게 발견 자체가 어렵기 때문에, 더더욱 중요한 게 이미 늑골골절이 있다는 걸 알고 있는 환자에게서도 추가로 늑골골절이 더 숨어있을 가능성을 배제하면 안됩니다.
교훈2. 초음파로 늑골골절을 확인할 때 저지르기 쉬운 실수가 늑골 자체만 보려고 하는 태도입니다. 늑골 자체만 보려고 하지 말고, 늑골의 앞쪽에 있는 근육인 scaleneus muscle이 늑골과 단단하게 붙어있지 않고 벌어져서 위로 떠있는 부위가 있는지를 확인해서 subperiosteal hemorrhage 여부를 확인하는게 중요합니다.
교훈3. 또한, 항상 의심스러운 부위에서 탐촉자로 눌러보면서 환자가 압통을 느끼는지, 늑골의 윤곽이 압력에 의해 변형되는지 여부를 확인하는 dynamic study가 꼭 필요합니다. 이번 사례에서 일곱번째 늑골골절의 경우, 위 영상처럼 영상 자체만 가지고선 늑골 골절 여부를 확인하는게 불가능한 경우들이 정말 많습니다. 초음파영상이 다른 영상에 비해 가지고 있는 특장점이 쉽게 움직임을 확인할 수 있다는 점입니다. 적극적으로 활용해야만 검사의 민감도를 향상시킬 수 있습니다.
교훈4. 환자는 언제든지 고의로든, 본의 아니게든 거짓말을 할 수 있다는 사실을 잊지 맙시다. 이번 사례에서도 할머니는 남편에게 맞았다는 사실이 부끄러워서 이 부분을 전혀 말하지 않고 있었습니다. 나이가 많이 드신 분들도 단순히 넘어지는 정도 가지고 골절이 4개까지 생기는 경우는 흔하지 않기에, 이번 사례도 일부의 골절을 놓칠 수 있었습니다. 여기서 그렇게 골절 자체를 놓치거나 1개 정도만 발견한 상태에서 시간이 흘러 통증이 더 심해지거나, 기흉같은 2차 합병증이 생기면서 타 병원에서 다발성 골절을 뒤늦게 발견한다면, 법적으로 크게 문제가 될 수 있습니다. 언제나 챠트 내용만 의지하지 말고, 검사를 하는 내내 환자분과 소통하면서 더 자세한 과거력을 알아보는 것이 필요한 이유입니다.