
72세 여자 환자분이 우측 복통을 호소해서 촬영한 초음파영상입니다. 지방간으로 간실질의 에코가 증가해 있습니다. 오른쪽 콩팥에 형태이상이 결석과 같은 이상소견은 보이지 않으나, 신수질과 피질간의 경계가 뚜렷하게 확인이 되지 않습니다.

신피질과 수질간 경계면이 확실치 않은 경우에는 반드시 신장에 이상소견의 가능성을 염두에 두고 끝까지 확인하는 자세가 필요합니다. 이 환자분의 경우에도 간초음파만 나온 상태이지만, 추가로 엎드린 자세에서 탐촉자를 등쪽으로 접근해서 우측 신장과 탐촉자 사이의 거리를 줄이고, dynamic range와 gain 값을 세심하게 맞추어서 다시 영상을 얻었더니, 신피질과 수질의 에코음영 차이가 정상보다 훨씬 뚜렷하게 나있는걸 발견했습니다.
우측 신장의 신피질 에코음영이 정상보다 더 증가한 경우이며, 신장에 문제가 생긴 것임을 확인한 것입니다.


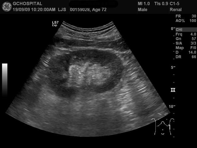
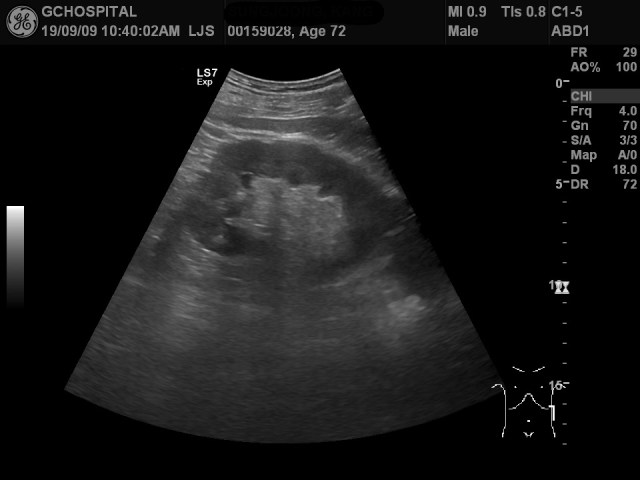
위의 두 영상은 같은 환자의 왼쪽 콩팥, 즉 좌측 신장을 촬영한 영상입니다. 위쪽 영상은 엎드린 상태에서 탐촉자를 등 뒤에서 접근해 얻은 영상이며, 아래 영상은 누운 상태에서 간초음파를 하는 도중 얻은 영상입니다. 환자분이 고령이고 깡마른 체형이었기 때문에 해당 부위가 움푹 파여있어서 좋은 영상을 얻기가 어려웠음에도 불구하고, depth, dynamic range 및 gain값을 제대로 맞춘 상태에서 정상에 가까운 신수질과 피질의 에코음영차이를 확인할 수 있었습니다.
이렇게 설정값을 적절히 조정하지 않고, 자세도 누운 상태 그대로 촬영했다면, 아래 영상처럼 신수질과 피질 사이의 에코음영차이를 보여주지 못해 왼쪽 콩팥의 신장질환이 오른쪽 못지 않게 진행해 있는 상황으로 잘못 파악할수 있었던 사례입니다.
신장기능검사결과가 같이 있으면 좋겠습니다^^