최근 사경인 회계사의 재무제표 강의를 듣고 있습니다. 중급과정을 듣고 있는 중인데, 지금까지 제가 노력하고 봐왔던 것과는 차원이 다른 영역의 경지를 보여주고 있더군요. 충격인건, 최소한 사경인 회계사가 제시하고 있는 그 정도 경지까지는 재무제표를 볼 줄 알아야 제대로 된 투자가 가능하겠다는 확신이 들더라는거지요.
지금까지 나름으로 재무제표와 사업보고서를 봐왔고, 그걸 근거로 1년 반 남짓한 기간동안 투자를 해서 나름 수익률 10%라는 성과를 거뒀습니다. 하지만, 그게 다 초보자의 행운이었고 재무제표를 제대로 봤기 때문에 올린 성과가 전혀 아니었다는 거지요. 강의를 듣는 내내 잔잔한 충격과 자괴감에 몸부림치고 있는 중에 문득 영상의로서 흉부단순촬영 판독을 익혀온 지금까지의 과정이 떠오르더군요. 제가 영상의로서 단순촬영 판독하는 것과 재무제표를 보는 것이 모두 같은 과정을 밟아가며 발전해나간다는 걸 깨닫게 됬습니다.
별다른 임상정보 없이 위와 같은 가슴사진이 판독할 리스트에 떳다고 해봅시다. 의학적인 지식이 전무한 일반인이라면, 당연히 이게 뭔지, 뭘 봐야 하는지조차 아무런 감이 없으실 겁니다. 바로 이런 단계를 투자영역에서는 “호구”라고 부를 수 있을겁니다.
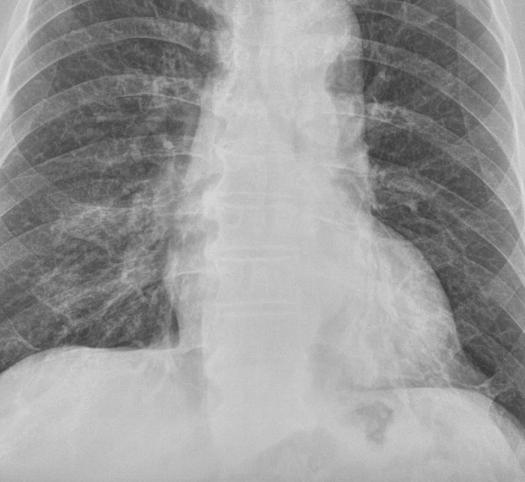
사실 이 환자는 동네 의원에서 폐렴이 의심된다고 해서 내과로 입원한 분입니다. 당연히 폐렴의 가능성을 제일 먼저 확인해야 겠지요. 위 영상에서 뭔가 이상소견이 보이시는지요? 의대생이 졸업을 하기 전에 가슴사진에 대해 공부를 할 때 제일 중요하게 강조되는 개념이 “실루엣 징후”입니다. 사실, 의대생이라도 이 실루엣징후라는 것을 “제대로” 공부했다면 이 사진에서 무엇이 문제라는 걸 금방 알 수 있습니다. 어찌 되었든 간에 이게 흉부단순촬영 영상이라는 것, 그리고 환자의 임상증상을 볼 때 왜 이 사진을 촬영한 것인지 전후사정을 이해할 수 있다면 적어도 “뭔가를 좀 아는” 상태라고 할 수 있습니다. 투자영역으로 따지면 호구까지는 아니고 이제 첫걸음을 떼고 앞으로 나아갈 준비가 되있는 “초보”단계로 볼 수 있습니다.
하지만, 제가 지금까지 봐왔던 교과서, 원서들에서는 실루엣 징후라는 걸 상투적으로만 소개하고 있는게 현실입니다. 단순촬영 영상에서 어떤 병변이 주변 정상구조물의 윤곽을 가리고 있다면, 해당 병변의 위치가 그 구조물과 비슷한 위치라는걸 의미한다는 것. 그러므로 횡격막 윤곽이 가려지면 폐하엽, 우측 심장윤곽을 가리고 있다면 우중엽, 좌측 심장윤곽을 가리고 있다면 병변이 좌상엽의 설상엽에 위치한다는 정도를 언급하고 있을 뿐입니다.
좀 더 심도있게 다루는 경우라면 폐 바깥쪽이나 척추 근처에 위치한 병변에서 나오는 실루엣징후를 언급하기도 하지만, 더 나아가 폐혈관이 가지를 치면서 뻗어가는 모양에 변화가 있는지를 확인하라는 충고를 하는 교과서는 없습니다. 때문에, 이 환자가 폐렴이 의심되는 임상증상으로 내원했다는 정보를 가지고 있는 주치의나 내과의사라 하더라도, 위의 영상에서 어디가 문제가 있다는 걸 짐작하는건 쉽지 않습니다. 다만, 증상이 분명히 있는데 영상에서 뭔가가 나오지 않을 때, “그 다음에는 무엇을 해야 하는지”에 대해서 생각하고 실행에 옮길 줄 안다면, 그것은 최소한 돌팔이는 아니라고 할 수 있을겁니다. 환자분의 증상이 호전되지 않는다면 옆에서 촬영해본다던지, CT를 찍어볼 수 있습니다.

이 환자의 옆에서 가슴을 촬영한 영상입니다. 이 사진만 봐서는 애매할 수 있겠지만, 이런 측면영상을 많이 본 의사라면 심장 뒤쪽의 폐가 많이 하얗다는 걸 눈치챌 수 있습니다. 하얗다, 내지 뿌옇다는 것의 기준이 애매하기 때문에 사실, 더 위쪽의 영상이 훨씬 병변을 명확하게 잘 보여주고 있지만, 실루엣징후에 대한 이해가 부족한 의사라면 오히려 이렇게 옆에서 촬영한 영상에서 폐렴의 가능성을 더 쉽게 찾을 수 있습니다. 어쨋던, 임상정보에 기대어 이렇게 추가적인 조치를 제대로 할 수 있는 단계라고 한다면, 초보의사는 아닙니다. 완벽하진 않지만 실수없이 정확한 경로를 밟아서 환자에게 도움이 되는 조치를 취할 수 있는 “중수”라고 말할 수 있으며, 현장에서 진료에 임할 수 있는 상태입니다.

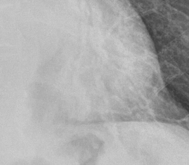
다시 맨 위의 사진으로 들어가서, 심장이 보이는 쪽을 잘 들여다 보면, 심장과 겹치는 부위에서도 폐혈관들이 가지를 치면서 나가는 걸 확인할 수 있습니다. 심장의 뒤쪽으로도 왼쪽 폐가 존재하기 때문에, 당연히 폐혈관이 심장과 겹쳐서 보이는건데, 보시면, 훨씬 안쪽에 보이는 폐혈관 윤곽이 이상하다는게 보입니다. 해부학 지식이 없어도 주변에 가지치며 뻗어나가는다른 혈관들과 윤곽이 다르다는걸 확인하는게 가능합니다.

아직까지 감을 잘 못잡으신 분들에게는 빨간색 화살표가 가르키고 있는 부위입니다. 폐 혈관이라는 게 두께가 일정하게 나가다 가지를 치면서 조금씩 가늘어지는게 정상인데, 해당 부위의 윤곽은 그렇지 않고 곤봉모양처럼 부풀어있거든요. 이건 폐혈관음영 주변에 폐의 공기가 아닌 다른 물질들, 이를테면 가래나 염증성 삼출물, 또는 암세포 같은 다른 물질들이 모여있어서 폐혈관의 윤곽을 가리고 있다는 걸 의미합니다. 이런 현상 또한 “실루엣 징후”라고 할 수 있는데, 실루엣징후에 대해 여기까지 예시를 보여주면서 설명해주는 교과서는 제가 공부하던 때에는 없었습니다.
결국, 이런 영역의 폐혈관 윤곽까지 주의깊게 들여다봐야 한다는 건 의대 졸업을 하고 나서도 영상의학과 공부를 좀 더 심도있게 하거나, 많은 폐렴환자들을 진료하면서 경험을 쌓아야만 알 수 있는 영역입니다. 이렇게 금방 눈에 드러나지 않는 숨겨진 영역들이 이 경우는 심장의 뒷쪽이지만, 여기 말고도 몇군데가 더 있습니다. 영상을 볼 때마다 그런 부분들을 유심히 들여다 보아야 한다는 사실을 경험이나 공부를 통해 잘 알고 있으며, 실제로 그 부분들을 유심히 들여다보는 습관이 되 있는 의사라면, 옆쪽에서 촬영한 영상이나 CT를 굳이 추가하지 않더라도 쉽게 폐렴병변을 확인해서 진단이 가능하며, 앞으로의 치료경과를 판단하는 것도 기본적인 단순촬영을 통해 가능합니다.
환자에게 하지 않아도 되는 검사를 쓸데없이 안해도 되게 해줬으니 이 수준의 의사는 분명 이전까지의 평범한 의사들보다 훨씬 더 환자들에게 도움이 되는 의사이고, 투자의 영역에서는 중수를 넘어 “고수”의 영역을 바라보기 시작하는 단계라 할 수 있습니다.
일단 진료현장에서 이 “고수”의 영역까지 이르르게 되면 환자에게도 큰 도움이 되지만, 의사 본인으로서 자신감을 갖고 환자를 대할 수 있을겁니다. 물론, 이 단계에까지 이르러도 놓치는 병변은 여전히 많고, 오진할 확률이 상당하다는 건 분명한 현실입니다. 이렇게 고수의 영역에 들어서면 그 다음 단계는 “전문가”의 영역입니다.
전문가라고 해서 고수들이 볼 수 있는 영역보다 더 많은 걸 보거나 더 깊게 알고 있는건 아닙니다. 물론, 심도있게 해당 영역을 파고 들어서 박사학위를 받는 경우도 있겠지만, 그건 박사나 교수의 영역이고, 전문가의 영역은 아닙니다. 전문가는 그렇게 고수들이 알아낼 수 있는 영역의 것들을 더 빠르고 효과적으로 해낼 수 있게 숙달되 있는 상태를 의미합니다.
영상의학과 전문의가 어느정도 단순촬영판독에 경험이 쌓이게 되면, 지금까지 이야기해온 저런 류의 병변이 영상에 숨어있는지를 발견하는데 어느정도의 시간이 걸릴까요? 제 경우는영상 전체를 훑어보고 숨어있는 폐렴병변이나 폐결절의 여부를 확인하는데 20초도 안걸립니다. “무엇을 보아야 하는지” 뿐 아니라 “무엇을 무시해도 되는지”까지를 경험을 통해 숙달되어 있는 상태라면 쓸데없는 데 들어가는 시간과 노력을 다 갈아내는게 가능하기 때문에 그게 가능한거죠. 게다가 전문가라면 그렇게 빠르게 판독을 해야만 합니다. 왜냐하면 하루에도 3,000장 이상의 단순촬영 영상을 판독하고, 20개 이상의 초음파영상을 직접 하면서 50-100개 정도의 CT, MRI 영상판독까지 근무시간 안에 해내야 하기 때문입니다.
그러면 어쩔 수 없이 놓치게 되는 병변이 있을 수 있죠. 그럴 때에 선택해야 하는게 놓쳤을 때 치명적인 결과가 발생될 수 있는 사안을 최우선적으로 방지하는 쪽으로 프로토콜을 짜서 실천해야 합니다. 이정도가 되면 최선을 다한다는 걸 넘어 “전략”을 짜고 “대응”해야 하는 영역까지 다다르게 되는거죠. 진정한 투자 고수들이 전념하는 것들과 다를바가 없는거죠.
영상판독의 영역에서는 그래도 나름 “전문가”의 영역을 한 발쯤 걸치고 서있기 때문에 투자의 고수, 전문가가 되기 위해 어떤 과정을 밟고 어떤 방향으로 노력해야 하는지에 대한 감을 잡는것도 비슷한 전개가 될거라는 걸 쉽게 이해하게 되는것 같습니다. 투자라는 영역에서 고수나 전문가가 되는 것도 여느 영역들과 마찬가지라고 보면 된다고 생각해요. 저처럼이제 막 투자의 영역에 발을 들인 많은 초보분들도 이 글을 읽고 우리가 걸어가야 할 길이 어떻게 되있는지 미리보기 해보는 것에서 제 글의 의미를 찾으셨다면 기쁘겠습니다.
