
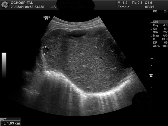
위는 검진초음파를 위해 내원한 분의 간초음파영상입니다. 탐촉자를 늑골 아래쪽에서 위로 올려서 간의 윗부분을 촬영한 영상입니다.
간 우엽의 앞쪽 피막 바로 밑부위에는 타원형의 단순낭종이 보이며, 커서로 표시한 곳에는 1센티미터 크기의 작은 원형병변이 보입니다. 경계가 분명하며 마찬가지로 간의 피막 바로 밑에 위치하기 때문에 단순낭종의 가능성을 가장 먼저 생각할 수 있지만, 병변 내부에는 비교적 밝고 뚜렷한 에코가 보이며, 단순낭종을 진단할 때 필요한 후방에코강조(posterior acoustic enhancement)소견이 보이지 않습니다.

촬영하던 당시 탐촉자를 어떻게 움직여서 촬영해도 늑골 아래쪽에서 보면 해당 병변 내부의 에코음영이 계속 확인되었으며, 후방에코강조소견도 확인할 수 없었기 때문에 단순낭종보다는 비전형적인 간혈관종의 가능성을 배제하기 어렵습니다.
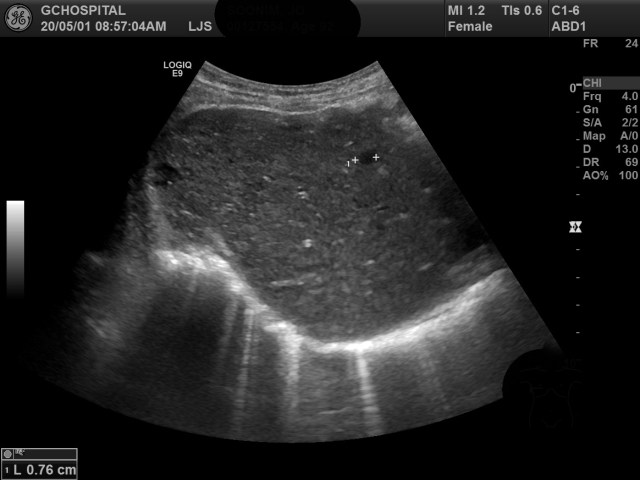
앞서는 포커스가 해당 병변보다 더 아래쪽으로 비켜나있었기 때문에, 포커스를 병변부위로 맞추고, 최대한 내부의 에코가 보이지 않도록 조절해서 영상을 촬영해보았음에도, 병변 내부의 에코를 완전히 없애는건 불가능했습니다.
간 내부에는 다수의 크기가 작은 단순낭종들이 함께 발견되었습니다. 위 영상에서 커서로 표시되있는 병변이 그 중 하나이며, 에코가 없는(Anechoic)것을 확인할 수 있지만, 단순낭종을 진단하는데 필요한 중요한 소견인 후방에코강조소견을 확인하지는 못했습니다.

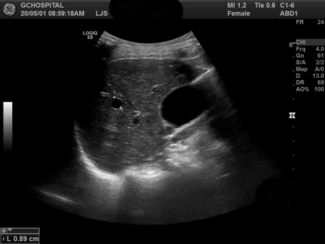
앞에서 병변 내부에 에코가 보였고, 후방에코강조소견이 보이지 않아 간혈관종의 가능성을 배제할 수 없었던 병변을 늑골사이로 탐촉자를 대어서 촬영한 영상입니다. Intercostal approach를 통해 해당 병변을 확인하면, 이렇게 내부에 에코가 전혀 존재하지 않는 무에코에 경계가 분명하면서 뚜렷한 후방에코강조소견을 확인할 수 있었습니다.
이 영상소견을 보고는 누구라도 이 병변이 단순낭종이라는 걸 의심하지 않겠죠. 늑골 밑으로 탐촉자를 대고 촬영하기만 하다보면, 이렇게 전형적인 단순낭종을 다른 병변으로 착각해서 쓸데없이 CT나 MRI같은 다른 영상검사를 추가하게 되는 경우가 생길수 있습니다. 사실, 현장에서 보면 이런 안타까운 사례들로 인해 의미없는 영상검사가 시행되는 사례들을 실제로도 가끔씩 보게 됩니다.
너무 뚱뚱하거나, 나이드신 분들은 간초음파영상을 촬영할 때 간혹 갈비뼈 사이로 탐촉자를 위치시켜 촬영하기가 어려울 때가 종종 있습니다. 그럼에도 불구하고 갈비뼈 사이로 접근해서 영상을 얻는 걸 포기하면 안되는 이유가 이런 일이 생기는 것을 막기 위해서입니다.

위의 영상은 앞서 두번째 영상에서 추가로 보였던 단순낭종을 늑골 사이로 접근해서 촬영한 영상입니다. 내부에 훨씬 더 뚜렷한 무에코를 확인할 수 있을 뿐 아니라, 늑골 밑으로 접근한 영상에서는 확인하는게 불가능했던 후방에코증가소견도 뚜렷하게 볼 수 있었습니다.