
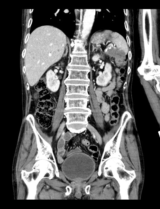
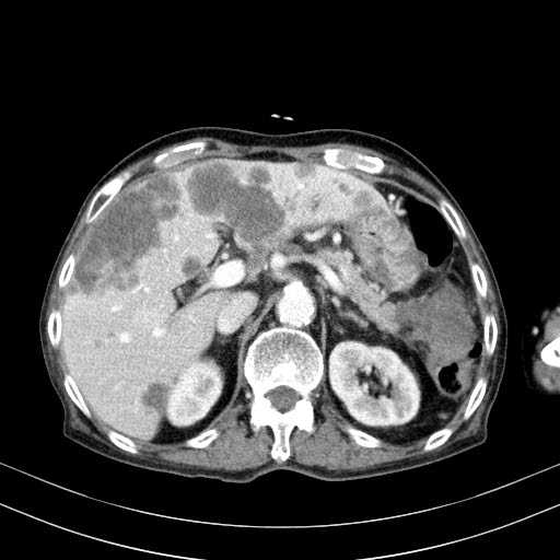
최근 몇 달간의 체중감소로 내원한 분으로 췌장꼬리와 비장, 그리고 대장벽을 침범한 종괴가 CT영상에서 확인되었습니다.

횡단면 영상에서 종괴는 췌장꼬리를 내측으로, 대장을 뒤쪽으로 밀면서 장기를 침범하고 있습니다. 간 내에 여러개의 전이암도 함께 관찰됩니다. 해당 종괴가 정확히 어디에 위치한 것인지 CT만 가지고는 구분하기 어려워 초음파영상을 추가로 시행해 보았습니다.

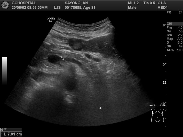
시행한 초음파영상에서 얻은 췌장의 횡단면 영상입니다.
췌장 꼬리에 위치해있던 종괴영상이 전혀 보이지 않았으며, 환자를 semi-upright position을 취하게 한 후 다시 확인해보아도 해당 종괴는 전혀 보이지 않습니다. 췌장의 목 부위에서 확인이 가능한 곳까지의 거리를 재보았더니 약 8센티미터정도가 나옵니다.

앞서 영상에서는 주파수가 4MHz였고, 포커스도 비교적 화면의 가운데 부분에 맞추어져 있었기 때문에, 좀 더 깊은 곳을 확인하기 위해 주파수를 3MHz로 낮추고 포커스도 최대한 깊은 곳을 볼 수 있게 맞추었습니다. 이렇게 해도 CT영상에서 보이던 췌장꼬리주변의 종괴는 전혀 보이지 않습니다.
즉, 이 환자는 탐촉자를 배 앞쪽에 대어서는 아무리 노력해도 췌장꼬리 부분을 확인하는게 불가능하다는 이야기입니다.

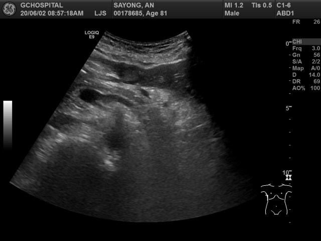
이번에는 탐촉자를 왼쪽 옆구리쪽에 대어서 비장 근처를 확인해보았습니다. splenic hilum 근처에 위치한 종괴와, 바로 밑에 연결되있는 췌장 꼬리를 확인할 수 있습니다. CT에서는 확실하게 구분되지 않았던 비장과 종괴 사이의 경계는 비교적 뚜렷하게 구분이 되어있고, 췌장 꼬리부위와 종괴가 전혀 구분되지 않은 것을 확인할 수 있습니다. 해당 종괴는 췌장 꼬리부위에서 발생한 악성종양으로 보입니다.
결론
앞서 CT영상에서 췌장의 목 부위와 꼬리부위까지의 거리를 재보면 약 9센티미터, 종괴가 위치해있는 splenic hilum 근처까지는 약 12센티미터의 거리였습니다. 우리가 초음파영상으로 췌장꼬리부위까지를 확인하려고 열심히 노력하는것은 해당부위에 숨어있는 췌장암의 발견을 위해 매우 중요한 자세입니다. 하지만, 많은 경우에서 위장관 내 공기음영에 가려있거나, 환자의 췌장이 위쪽에 존재해 있는 경우, 또는 환자의 체형이 극단적으로 말라있거나 비만인 경우등 여러가지 이유로 인해 췌장꼬리를 확인하지 못하고 넘어가는 경우는 생각보다 매우 흔합니다.
이 때 중요한 것이 내가 췌장 꼬리부분을 제대로 확인했는지, 그러지 못했는지를 정확히 판단하고 정직하게 기록하는 것입니다. 제 임상경험으로는 방문하는 환자분들이 대부분 나이든 분들이어서 그러는지는 몰라도 절대다수의 경우 췌장꼬리부분까지 확인을 하지 못했습니다.
췌장꼬리는 앞쪽에서 접근하면 매우 깊은곳에 위치해있기 때문에 윤곽을 정확하게 확인하기가 어려운 부위입니다. 이번 사례에서처럼 frequency나 depth, focus를 적절히 조절해도 쉽지 않은 경우가 많습니다. 이 때에 유용한 기준이 위와 같이 췌장의 목부위에서 확인이 가능했던 부위까지의 거리가 될 수 있습니다.
췌장 목 부위에서 확인할 수 있었던 가장 꼬리부위까지의 거리를 측정해서 12센티미터 이상이었다면, 충분히 췌장꼬리부위까지 확인했고, 해당 부위에 육안으로 확인이 가능한 정도의 암이나 기타 국소병변의 가능성을 판별할 수 있었다고 이야기해줄 수 있을 것입니다. 그렇지 않고 10센티미터 이내까지만 볼 수 있었다면, 초음파영상으로 췌장꼬리를 충분히 확인하지 못했다고 추정할 수 있겠지요.