간 탄성초음파 시행시 주의점

오늘은 정말 오랜만에 블로그의 초심으로 돌아가서 초음파영상에 대해 이야기해보겠습니다.

저는 간초음파를 시행하는 모든 환자분들에게 탄성초음파를 같이 검사하고 있습니다. GE사 초음파장비를 운용중인데, 2D shear-wave elastography 소프트웨어를 같이 넣어줘서 활용하고 있습니다. 나이드신 분들 중 갈비뼈 사이가 굉장히 좁아져있는 경우를 제외하면 굉장히 유용한 정보를 제공해서 만족스럽게 쓰고 있습니다.

간실질에코가 거칠어보이지 않고 다른 이상소견이 없는데, 탄성초음파상 간실질의 Stiffness가 올라가있어 과거력이나 간수치를 확인해보면 간염보균자이거나 만성 간질환을 앓고 있는 분들이 상당히 많습니다. 이런 사례가 상당히 많이 나오다 보니, 기초검진에 간초음파 뿐 아니라 탄성초음파를 포함하는 것도 유용성이 있으리라 생각되더군요.

다만 탄성초음파에서 문제는 잘못 측정할 수 있는 상황들이 굉장히 자주 나오기 때문에 그런 오차가 나오는 조건들을 배제하는 데 상당히 신경을 써야 한다는 점입니다.

  1. 누워있는 상태에서 오른팔을 최대한 머리 위로올린 자세에서 검사할 것
  2. 반드시 갈비뼈와 갈비뼈 사이에 탐촉자를 대고 검사(늑골하스캔은 금지)
  3. 배나 가슴에 힘을 주지 않은 자연호홉 상태에서 잠시 호홉을 멈춘 상태에서 스캔
  4. 탐촉자 또는 피부로부터 5cm 정도 떨어진 거리의 간실질을 확인할 것, 간의 피막에서 2cm 이내 거리의 주변부는 스캔하면 안됨.
  5. 최소 4시간 금식한 상태에서 검사를 시행해야 함
  6. 최소 5회 이상 반복해서 측정
  7. 60% 이상에서 측정한 값들의 표준편차가 중앙값의 30% 미만이 되지 않으면 신뢰도를 상실한 것으로 간주함

1에서 4번까지만으로도 갈비뼈 사이가 좁아져 있는 노인분들이나 협조가 잘 되지 않는 분들, 호홉이 곤란한 분들은 검사하는게 불가능합니다. 여기에 더해 5,6,7번은 기초적인 간초음파를 시행할 때 실천하기가 너무 까다로워 철저하게 이를 준수하는게 맞는지 의심스러울 때가 있습니다.


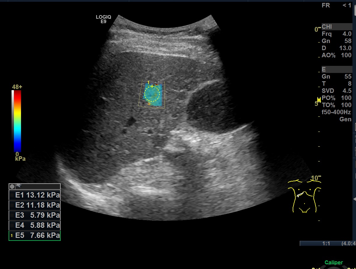
위의 영상은 며칠 전 오른쪽 복통을 호소해서 간초음파를 위해 오신 분의 탄성초음파 측정값입니다. 총 다섯번을 측정했는데, 첫번째와 두번째 값이 매우 높게 측정이 되었고, 나머지 세번의 측정은 정상에 가까운 수치가 나왔습니다. 측정 시 자세나 여타 조건은 큰 문제가 없었는데 이렇게 큰 편차가 난 이유는 환자분이 배가 아픈걸 참지 못해 측정하는 순간 배에 힘을 주셨기 때문입니다.

처음에는 환자분이 힘을 준걸 모르고 정말로 간섬유화가 진행된 분이었는가 착각했었는데, 탐촉자를 잡고 지탱하기 위해 환자분의 배 위에 닿아있던 오른손 손목의 감촉에서 배에 힘을 주고 있는걸 눈치챘었습니다. 힘을 빼라고 해도 무의식적으로 힘을 주고 있던건데, 생각만큼 세게 힘을 준것도 아닌데 이렇게 stiffness 값이 높게 측정이 되더군요.

곧바로 최대한 힘을 빼달라고 말씀드리고, 손으로 힘이 빠진걸 확인하고 난 후에 측정한 값은 모두 정상범주 안에 들어와있었습니다.

이 외에도 환자분의 자세가 달라져있거나, 갈비뼈 사이 공간이 좁아져있는 경우같이 굉장히 다양한 상황에서 측정치의 오차범위는 매우 크게 나옵니다. 반대로 간섬유화가 상당히 진행된 상태인데도 stiffness값이 정상처럼 나오는 경우도 빈번하게 있었습니다. 탄성초음파를 할 때는 최대한 조심해서 오차가 나오는 상황을 미리 피하는 것도 중요하지만, 일단 이렇게 반복측정하면서 편차가 심하게 나오는 경우에는 검사결과 자체의 신빙성을 기각하고 다시 검사하는 것과 같은 적극적인 조치가 매우 중요합니다.

간 탄성초음파 시행시 주의점”에 대한 5개의 생각

  1. sunhyun6ca8c9ac74의 아바타 sunhyun6ca8c9ac74

    저도 옛날사람이라 그런지.복부초음파도 있고, CT도 있는데 굳이 뭐하러 간탄성초음파를 하는 걸까…싶은 의문이 들기도 합니다. 임상적용에의 특별히 장점이 무엇인가 싶어요…

    1. 제가 열심히 시도하고 있기는 하지만, 탄성초음파 단독으로 의미있는 marker는 될 수 없습니다.
      다만, 거친 에코음영이 확인되지 않았는데, 간실질의 stiffness가 올라가있는 만성간질환 환자분이 가끔 보이는 것에서 탄성초음파를 하는 보람을 찾긴 합니다.

      1. sunhyun6ca8c9ac74의 아바타 sunhyun6ca8c9ac74

        그 정도의 임상적 의의라면 역시 효율이 너무 적은것도 같으네요 … 열심히 하시는데 죄송합니다
        ^^;

      2. 맞습니다. 효율이 떨어지는 수고지요. 간초음파 영상의 한계를 분명히 긋고 나면 만성 간질환 환자의 f/u check 용도 이외의 일반적인 용도로 탄성초음파가 필요할 일은 거의 없는게 맞습니다.

댓글 남기기