보통 상복부초음파영상에서 췌장을 촬영할 때는 위와 같은 영상을 머리에 떠올리고 촬영하게 됩니다. 새 부리모양의 췌장 두부, 비장정맥(splenic vein)의 앞쪽으로 췌장의 몸통이 위치하면서 췌장꼬리는 비장을 향해 뒤로 꺽이는 모양이 전형적인 양상입니다.
여기서 많은 분들이 착각하는 부분이 췌장꼬리와 비장정맥의 관계입니다. 위의 그림에서도 노란색 글자로 “Tail”이라 표시되어있는 부위를 췌장꼬리라 인식하는 경우가 대부분이고, 대부분의 교과서나 자료들에서도 같은 식으로 묘사하지만 실제로 해당부위가 췌장꼬리인 경우는 거의 없습니다.



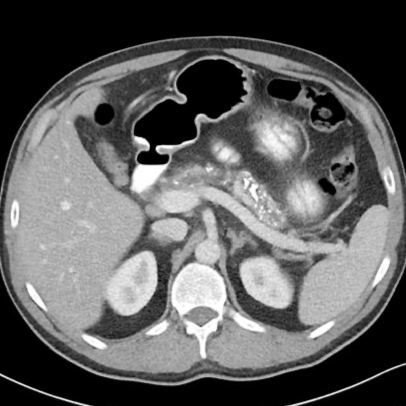
통상적인 복부CT의 횡단면영상입니다. 대부분의 경우 췌장의 머리부위에서 꼬리부위까지 하나의 단면으로 모두 볼 수 있는 영상은 현실에서는 좀처럼 찾아보기 어렵습니다. 원래 췌장이라는 장기는 튜브처럼 일직선으로 빳빳하게 펴져있는 장기가 아니라, 마치 두부처럼 부들부들해서 주변 장기에 눌려 비틀려있기 때문에 하나의 단면으로 전장을 확인할 수 없는 경우가 대부분입니다.
특히나, 비장정맥은 췌장의 절반정도만을 함께 주행하는 경우가 대부분입니다. 췌장의 뒤쪽을 가로지르며 주행하는 비장정맥은 초음파영상에서 췌장을 구분하게 해주는 랜드마크로 알려져 있지만, 대부분 췌장의 목 부위에서 몸통의 일부분까지만 췌장과 함께 주행하면서 췌장의 뒷쪽 경계를 형성하는 경우가 대부분입니다. 위의 CT영상에서도 확인할 수 있듯이 비장정맥을 따라가다 보면 잘해봐야 췌장의 몸통부분까지만을 확인할 수 있는게 정상입니다.
이제 다시 위의 초음파 횡단면영상을 보시면, 아니나다를까 췌장 뒤쪽에서 확인할 수 있는 비장정맥이 췌장 몸통부분까지만 확인할 수 있으며, 꼬리(Tail이라고 표시된 부위)라고 표시하고 있는 부위에는 비장정맥이 위치해있지 않고 있습니다. 이 부위가 과연 췌장 꼬리부위가 맞다고 할 수 있으려면 반드시 확인해야 하는 것이 해당부위의 뒤쪽에 왼쪽 콩팥이 위하는지 여부입니다.

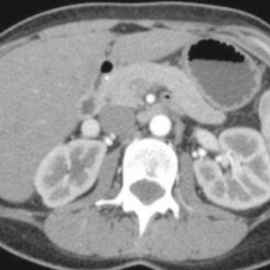
췌장의 몸통과 꼬리 부위가 하나의 영상절편에 놓여진 CT 횡단면영상입니다. 췌장의 꼬리는 언제나 예외없이 뒤쪽에 왼쪽 콩팥이 위치해있으며, 측면에는 비장이 존재합니다. 대부분은 비장의 아래쪽 부위가 췌장꼬리와 닿아있으며 20-30%정도에서는 좀 더 위쪽으로 올라와 비장의 hilum쪽과 닿아있지만, 초음파영상에서는 앞쪽에 존재하는 장관내공기음영에 가려져서 확인하기가 어렵습니다.
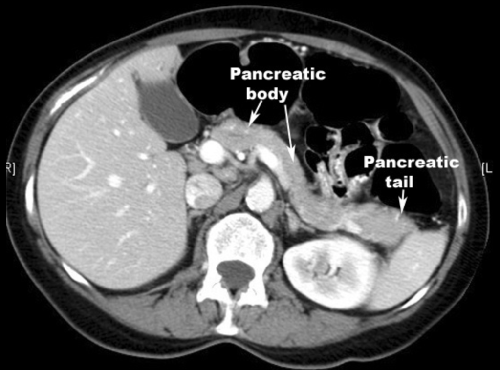
하지만, 췌장꼬리의 뒤쪽에 왼쪽 콩팥이 존재하는지 여부는 해당부위가 췌장꼬리가 맞다고 말할 수 있으려면 반드시 확인해줘야 합니다. 왜냐하면, 이 주변에는 초음파영상에서 췌장실질과 구분하기가 어려워 혼동할 수 있는 것들이 존재하기 때문입니다. 다름아닌 공장(jejunum) 및 내부의 공기에 의한 reverbration artifact나 왼쪽 콩팥 주변 및 후복막강의 지방조직이 췌장실질의 에코와 비슷해서 혼동하기 쉽기 때문입니다.
위에서 췌장꼬리라고 소개하고 있는 부위도 잘 들여다보면 췌장 몸통부위와는 달리 반짝반짝 빛난다고 할 수 있을만큼 밝은 점들이 내부에 포함되어 있습니다. 이는 공장(jejunum) 내부의 공기음영에 의한 것일수도 있고, 제 개인적으로는 실제로 췌장 주변에 존재하는 공장을 췌장 꼬리부위로 착각하고 그렇게 표시한 게 아닌가 싶습니다.
원래 간담도췌장 초음파영상에서 췌장의 전체부위를 모두 확인하는 작업은 굉장히 난이도가 높은 작업입니다. 누워서 췌장을 전부 확인하는것이 불가능한 경우가 많기에 추가로 semi-upright position을 하고 영상을 찍거나, 그럼에도 췌장꼬리부위를 확인하는게 난해하기 때문에 비장을 들여다보면서 비장 너머로 췌장꼬리를 확인하는 것을 필수적인 절차로 규정하기도 합니다. 그만큼 췌장의 전체 부위를 확인하는 것은 생각보다 간단하지 않은 일입니다.
때문에, 여기를 들여다보면서 시간과 수고를 소진하고 있으면 마음 속에서 “적당히 보고 대충 사진만 찍고 넘어가고 싶다”는 유혹이 드는 건 어찌보면 인지상정일 수 있지요. 하지만, 췌장 꼬리부위에서도 악성종양은 언제든 발생할 수 있기에 내가 해당부위를 정확히 확인했는지, 아니면 그러지 못했는지를 확실하게 구분해서 판독내용에 명시해놓는 일은 정말 중요한 작업입니다. 저는 다행히 그런 일을 겪어보지 않았지만, 검진초음파에서 췌장꼬리를 적당히 보고 정상이라고 넘어갔다가 나중에 복부CT에서 악성 종양으로 주변장기까지 모두 침범되버린 채로 발견되는 임상사례를 목격한 적이 한번 있습니다.
결론적으로 가장 중요한 점은 췌장꼬리를 확인할 때에는 췌장실질과 비슷한 에코를 가지고 있다고 해서 그것이 췌장이라고 착각하지 말고, 위치적으로 뒤쪽에 왼쪽 콩팥의 일부가 위치해있는 것을 확인한 후에 췌장꼬리부위를 확인했다고 체크해야 한다는 것입니다.
