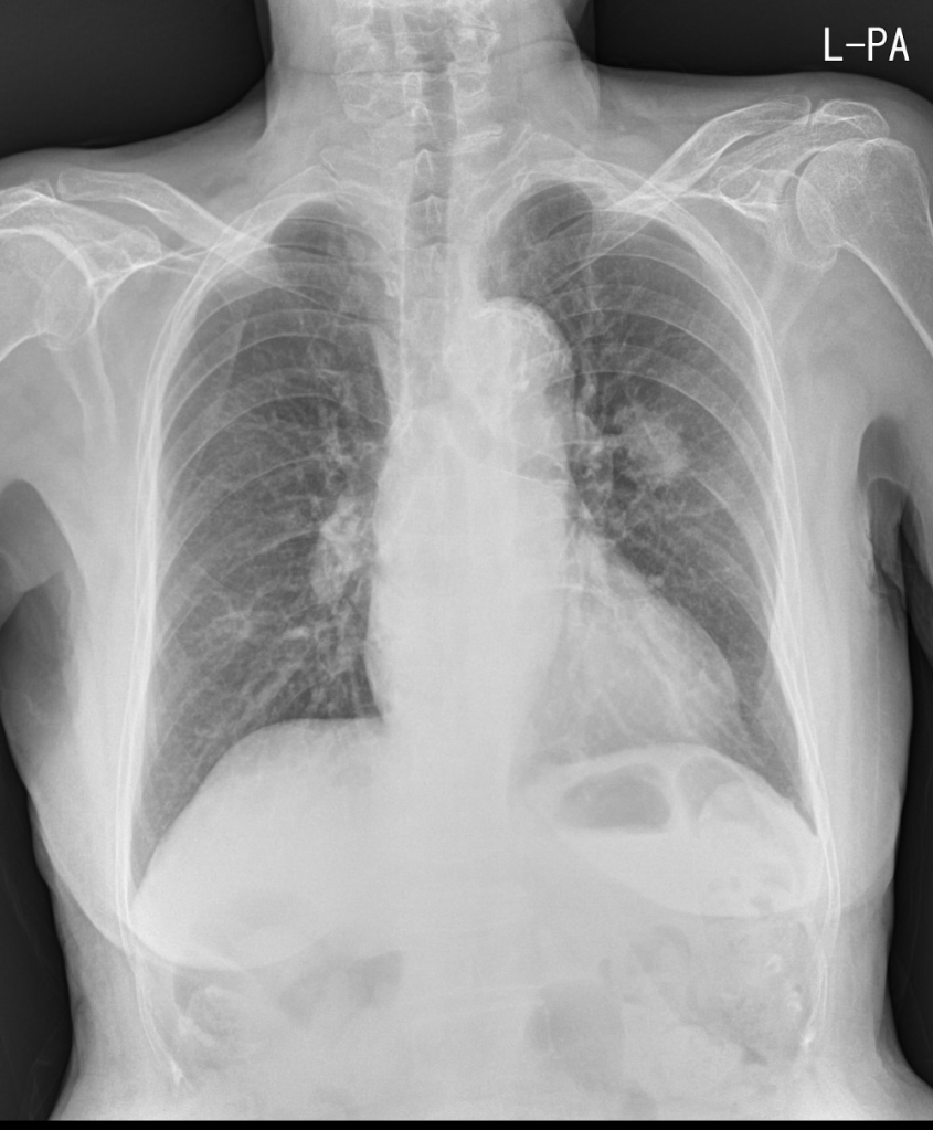
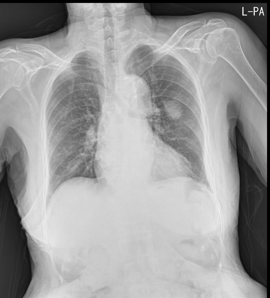
91세 여자 환자로, CT에서 왼쪽 폐에 폐암이 발견되었으나, 고령과 전신상태가 여의치 않아 수술을 포기한 분의 단순 흉부X선 영상입니다.


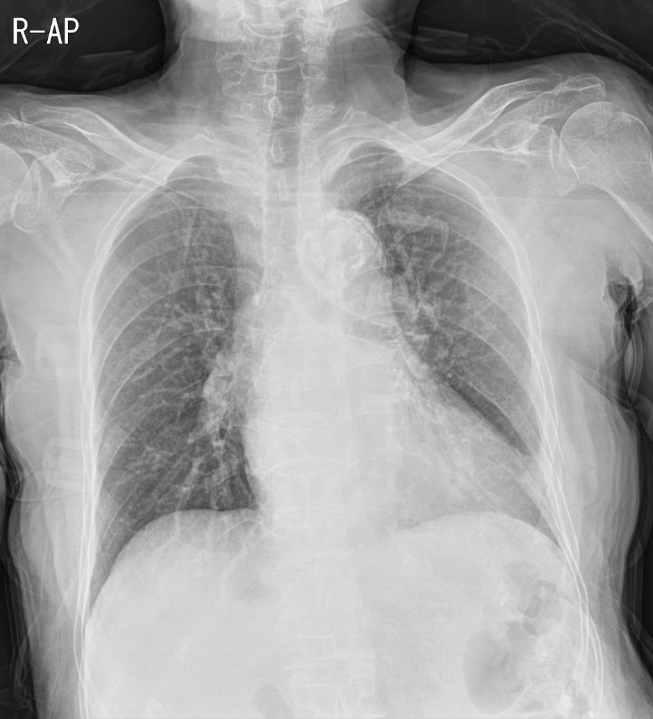
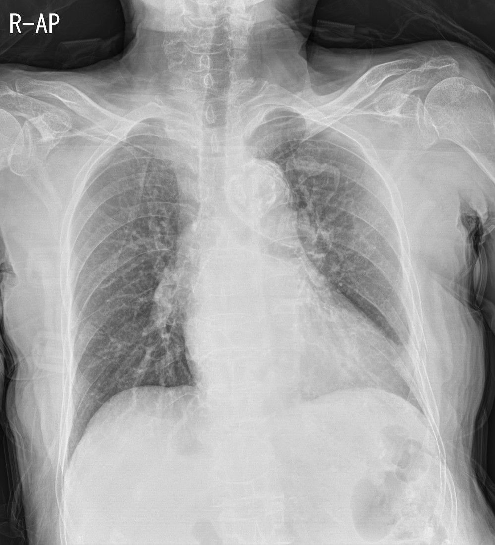
이전에 여러차례 촬영했던 Chest PA view는 물론 CT에서도 분명히 확인했던 왼쪽 폐의 암덩어리가 AP view에서는 확인되지 않습니다. 이렇게만 보면, 기적적으로 며칠만에 암덩어리가 사라졌든지, 과거 폐암으로 진단되었던 병변이 폐암이 아니라 국소적인 폐렴이었다 며칠만에 호전되었을 가능성도 제기할 수 있을겁니다.

폐에 병변이 의심되는 경우 가장 기초적인 영상검사는 단순흉부X선검사입니다. 특별한 제약사항이 없다면 기본적으로 서있는 자세로 Chest PA view영상을 촬영하는 것이 원칙인데, 왜 AP view가 아닌 PA view를 촬영해야 하는지를 극명하게 보여주는 사례 같아서 올려봅니다.
또한, 의대생이나 영상의학을 전공하지 않은 분이라면 위의 영상들만 보고 Chest PA view인지 AP view인지 정확하게 구별하지 못하는 분들이 있을 수 있지만, 자세히 들여다보면 AP view와 PA view를 구분할 수 있는 중요한 특징들이 잘 드러나있는 영상들입니다. 영상의학과에서 기사분들이 촬영하면서 라벨을 잘못 붙혀서 AP view영상임에도 불구하고 PA view로 잘못 기재되는 경우들이 종종 있고, 이게 나중에 문제가 되는 경우도 있기 때문에 이 둘을 구분하는 건 시험공부로든, 실제 임상영역에서든 상당히 중요한 부분이라 생각합니다.
위의 영상들을 가지고 AP view와 PA view의 구분을 할 수 있는지 잠깐 점검해보는 것도 괜찮을거라 봅니다.