
최근 간초음파를 시행하면서 간 탄성초음파를 추가로 검사하면서 의미있는 임상데이터를 확보할 수 있는지 들여다보고 있습니다만, 보통 알려진 탄성초음파의 권장사항들에서 조금 변화를 줄 필요가 있다는 생각이 들어서 제안의 글을 써봅니다.
우리가 접하는 여러 문헌들에서 보편적으로 언급되는 권장사항들은 대충 아래와 같습니다.
- 검사 시행 4시간 전부터 금식
- 환자가 바로 누운 자세에서 오른팔을 뻗은 상태에서 갈비뼈 사이 공간으로 간우엽을 측정
- 중립 호홉에서 숨을 참는 동안 측정할 것
- 간피막(liver capsule)에서 최소 15mm 아래에서 측정하고, reverbration artifact를 최대한 방지하기 위해 관심영역은 간 표면에 수직으로 위치해 있을 것
- 관심영역을 탐촉자(transducer)로부터 4-4.5cm 떨어진 곳에 위치시키는 것이 측정을 위한 최적의 위치
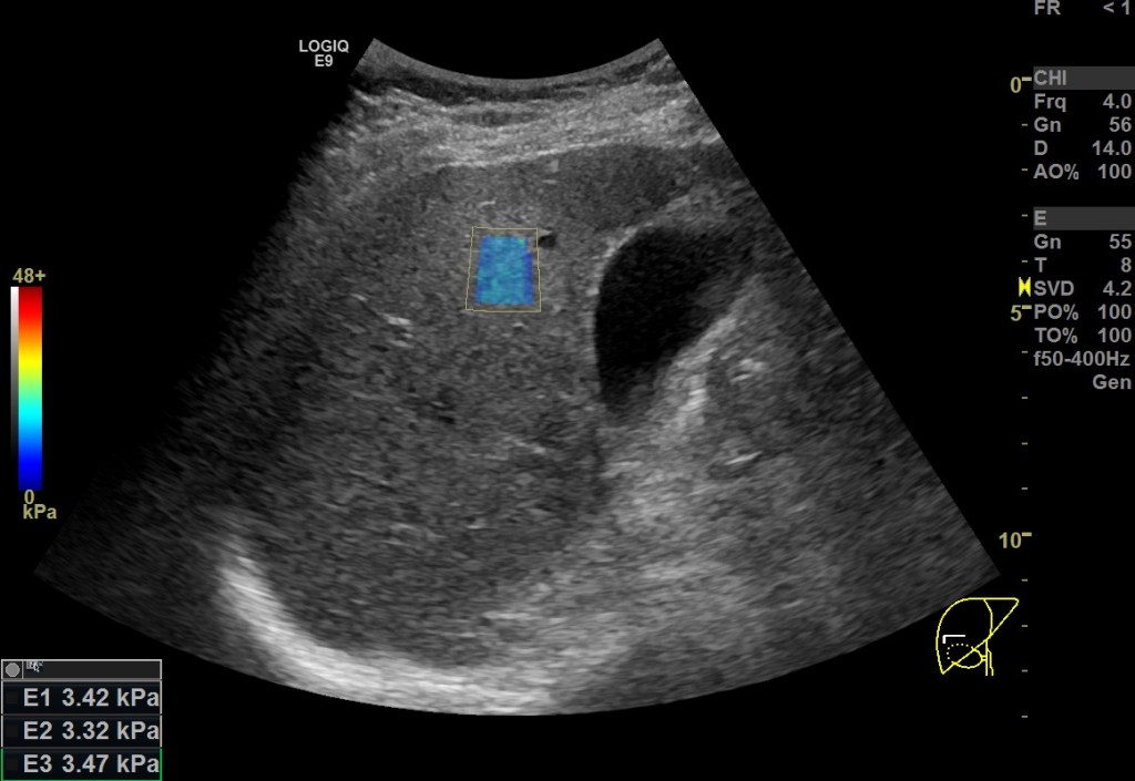
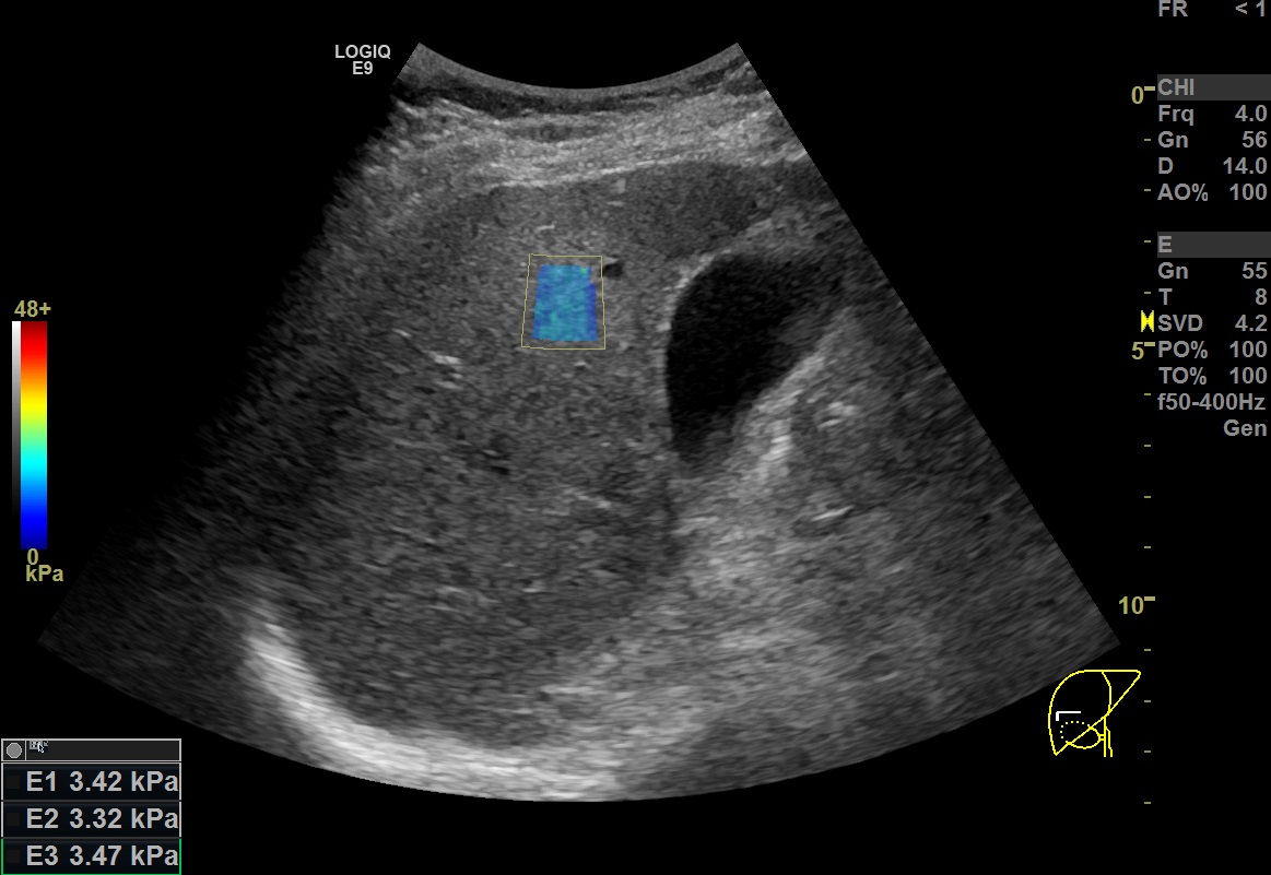
- 2D SWE의 경우 5번의 측정값을 얻고, 최종결과는 IQR/M과 함께 중앙값으로 표시
- 신뢰성 기준은 kPa 단위인 경우 측정값들의 사분위간 범위(IQR, interquartile range)를 중위값으로 나눈 값이 0.3 이하여야 신뢰도가 있다고 인정된다.
제가 그동안 탄성초음파를 하면서 위의 권장사항들 중에 가장 우선적으로 수정이 필요하겠다고 느낀 건 중립호홉에서 숨을 참는 동안 측정하라는 지침입니다. 일단 환자분들이 중립호홉을 이해하기도 어려울 뿐더러, 아예 숨을 참는 것도 어려운 경우가 많습니다. 대학병원에는 다양한 연령의 환자분들이 내원해서 검사를 하지만, 제가 일하는 지방 병원은 대부분이 나이드신 분들이고, 아주 젊으면 50대 환자분들입니다. 폐기종 같은 폐질환을 같이 앓으시는 분도 많으시고, 숨을 참으라는 지시조차 정확하게 수행하지 못하시는 분이 많습니다.
더 심각한 점은 “숨을 참으세요”라는 지시에 환자분들이 숨을 참는 동안 배에 힘을 준다는 점입니다.
힘주지 말고 숨 참으라는 지시, 일단 여러분들이 한번 해보세요. 쉽게 되는지 어지간히 연습하지 않으면 무의식적으로 배에 힘이 들어가게 됩니다. 배에 힘이 들어가는 순간 간실질의 탄성계수는 순식간에 상승합니다.
제 경험상으로는 이렇게 숨을 참으라고 하는 것보다 숨을 천천히 쉬라고 지시하는 것이 훨씬 간단하게 일관된 측정값을 얻을 수 있었습니다. 천천히 내뱉고, 같은 속도로 천천히 들이쉬라고 하다보면 환자분도 무의식적으로 긴장이 풀어져 복압이 올라가는 일도 줄어들기 때문에 소요시간도 짧고 검사를 진행하는 데 들어가는 힘도 덜했습니다.
두번째로 생각해볼 점은 거사의 신뢰성을 판단할 때 사분위간 범위를 나누는 것보다 더 직관적인 방법으로서 2D SWE 시행 시 관심영역 내에 색으로 표시되는 부분이 얼마나 균일한 색상으로 고르게 분포되어있는가를 확인하는게 좋은 지표가 될 수 있다는 점입니다. 경험적으로 관심영역 내 색상이 균일한 경우는 여러번 측정했을 때의 측정값 또한 일정하게 편차가 적었습니다(위의 영상 참조).
이러한 경향은 정상환자에서나 간섬유화 등으로 stiffness가 증가한 환자에서나 공히 보이는 경향이었습니다.
간 탄성초음파의 측정값이 오차가 많고 신뢰도가 낮은 측정값이 자주 나오는 이유는 많습니다. 앞서와 같이 제대로 된 호홉조절을 환자분이 하기 어려운 때문이기도 하고, 비만이나 지방간이 심한 경우나 반대로 심하게 마른 체형, 또는 갈비뼈 사이가 좁아서 검사가 어려운 경우들도 있습니다.
2D SWE를 시행하는 동안에는 이렇게 관심영역의 색상균일도를 확인하면서 한 번 측정할 때마다 제대로 측정한 유효검사인지를 쉽게 체크할 수 있었습니다.