67세 여자로 3시간 전부터 발생한 상복부통증으로 내원, 당시 혈중 백혈구 증가 외 다른 임상검사 상 이상소견은 보이지 않았습니다.

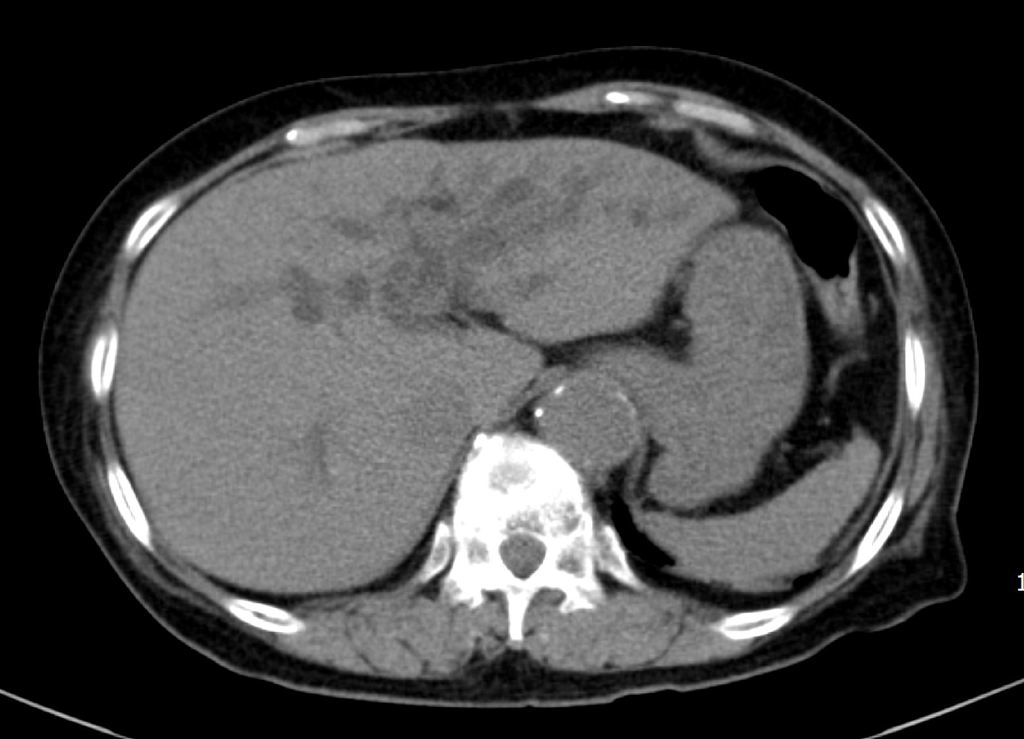
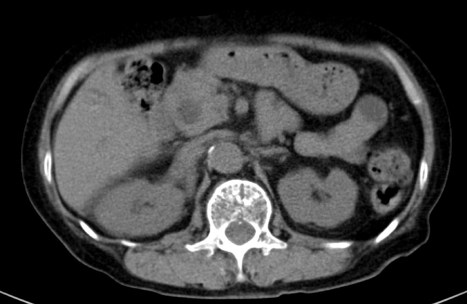
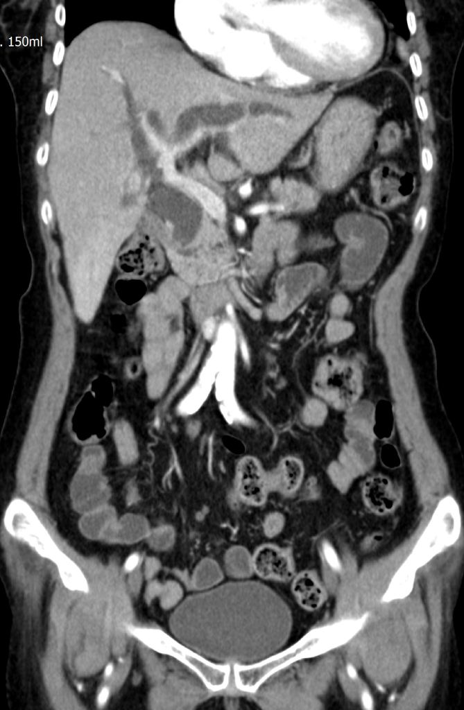
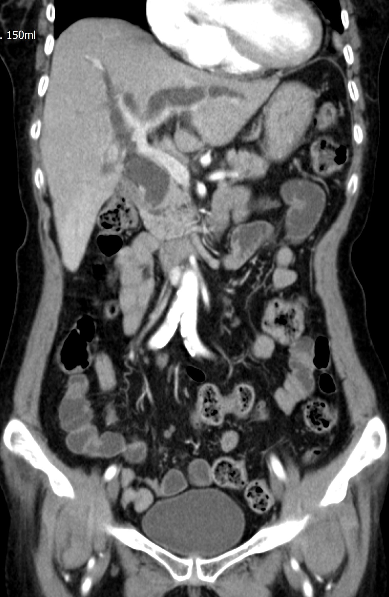
곧바로 촬영한 CT에서 여러개의 간내담관결석 및 전반적인 간내담관 및 간외담관 확장소견이 보입니다. 담관의 중심부 확장이 주변부 확장보다 더 심한 전형적인 proportional dilatation을 보입니다.총수담관(common bile duct)의 확장도 뚜렷하게 보이지만, 총수담관을 막고 있는 담관내 결석이나 국소병변 소견은 보이지 않습니다.
환자는 임상적으로나 임상검사 상 황달을 보이지 않았으며, CT 영상에서 간내담관결석 외에 담관의 확장을 일으킬 수 있는 병변은 확인되지 않았지만, 담관의 proportional dilatation은 장기간 총수담관을 막고 담즙의 배출을 방해하는 병변의 가능성을 암시합니다. 따라서 담관의 추가적인 확인을 위해 다음날 오전 초음파영상을 시행했습니다.
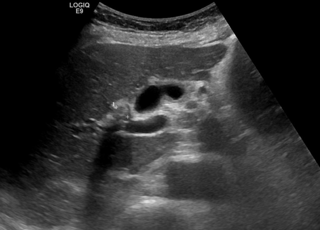
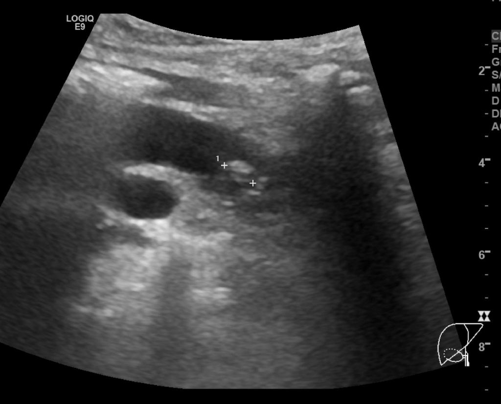
CT에서 보이던 우측 간내담관결석이 보이며, 담관의 확장이 같이 확인됩니다.
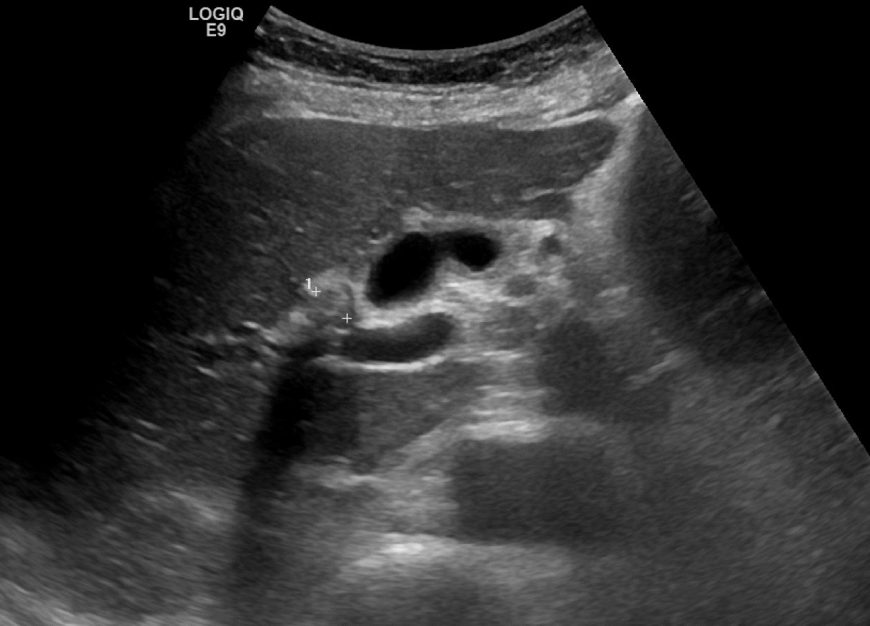
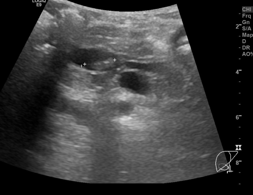
CT영상에서는 전혀 안보이던 총수담관 내 결석이 확인됩니다. 그리고, 결석 근처의 총수담관 벽이 불규칙하게 두꺼워져 보입니다.
같은 총수담관내 결석을 횡단면 스캔영상으로 확인했습니다. 뚜렷한 후방에코음영을 동반한 결석을 확인할 수 있습니다.
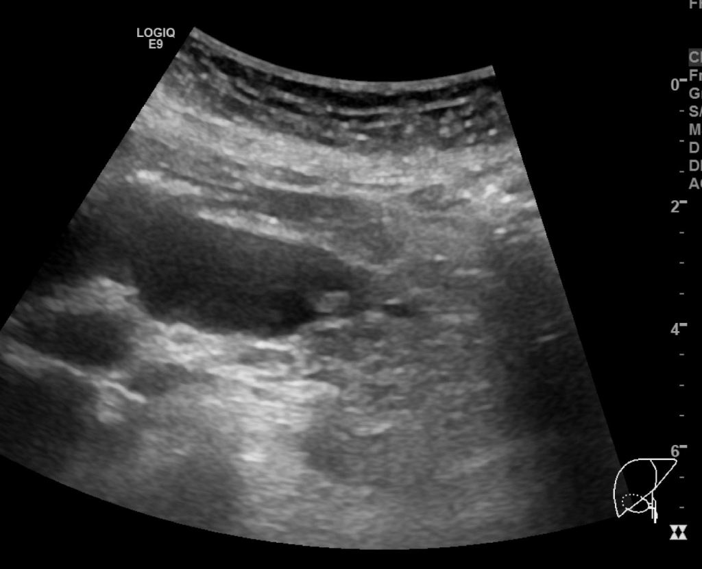
총수담관의 아래쪽 끝부위를 종단면스캔한 영상입니다. 앞서 보였던 담관결석과 총수담관의 갑작스러운 폐쇄가 보입니다. 앞서 보였던 총수담관 벽이 두꺼워지고 총수담관의 급격한 폐쇄는 근처에 경계가 불분명한 침윤성 병변의 가능성을 제기할 수 있는 소견입니다. 즉, CBD cancer의 가능성까지 의심해볼 수 있는 영상소견이지요.
이처럼 CT에서는 전혀 확인할 수 없었던 간외담관의 결석 및 담관암 의심소견을 초음파 영상에서는 비교적 쉽고 명확하게 확인할 수 있는 사례였습니다. 실제 담관의 확장이 있는 경우 위와 같이 CT에서는 전혀 보이지 않는 병변을 초음파영상에서 확인하는 경우가 꽤 흔합니다. 이러한 경험을 많이 하지 않은 분들이 CT의 유용성을 마치 만능에 가까운 것처럼 착각하는 경우가 있습니다만, 실제로는 이번 사례처럼 그렇지 않습니다.
간혹 초음파영상이 검사하는 사람의 경험과 노력에 따라 민감도나 특이도 편차가 크기 때문에 불안을 느껴서 CT를 초음파영상보다 더 신뢰하게 되는 경우가 있는데, CT나 초음파 영상 모두 어느 한쪽을 완전히 대체할 수 없는 영상검사라는 점을 잊어선 안됩니다.






