최근 경험한 임상사례입니다.
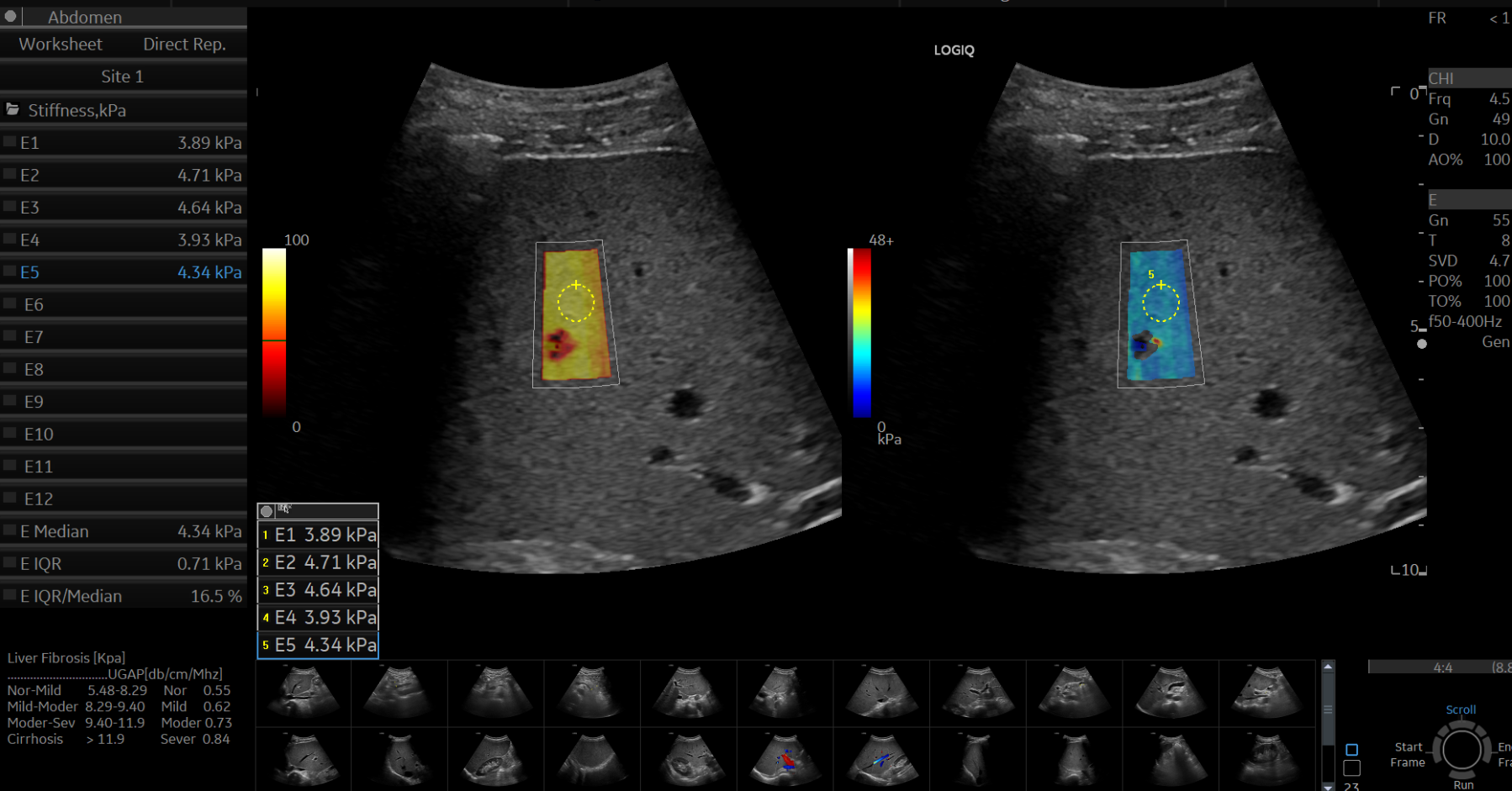
52세 남자환자로 알콜 의존증으로 꾸준히 술을 마시고 있습니다. 수년 전부터 계속 간수치 상승 및 만성 간염 진단을 받은 상태로, 최근 늑골골절로 내원하셔서 간초음파를 시행하셨습니다.
간초음파 B-mode 영상에서 거친 에코음영과 간 하연 둔화(inferior hepatic angle blunting)를 보여 전형적인 만성 간질환을 시사하고 있지만, 탄성초음파 상 탄성계수는 평균 4.3 kPa로 정상범주였으며, UGAP 정량분석에선 평균 0.58 dB/cm/MHz로 마찬가지로 정상범주 내였습니다.
탄성초음파나 UGAP 정량분석에서 정상수치를 보였다는 것이 미만성 간질환의 가능성을 배제할 수 없다는 사실을 극명하게 보여준 임상사례였습니다. 여담이지만, 만성 간질환 중에서도 알콜성 간질환의 경우 탄성계수가 다른 원인에 의한 경우보다 높다는 보고가 있는데, 이번 사례는 그러한 보고와 정반대의 결과를 보여주고 있다는 점도 특이했던 것 같습니다.
결론적으로, 탄성초음파는 탄성계수가 높을 경우에는 유의미한 간섬유화나 간내 염증의 증거가 될 수 있으나, 탄성계수가 정상범주 안 이라도 B모드 영상에서 의미있는 소견들이 존재한다면 반드시 만성 간질환의 가능성을 배제하지 말아야 합니다.


