
83세 여자환자로 운전 중 교통사고로 앞가슴쪽을 다쳐서 온 환자입니다.
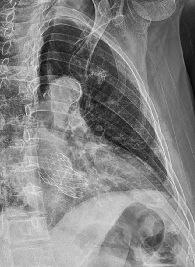
흉골 측면영상에서 upper body 부위의 anterior cortex 일부가 연결되지 않아보이는데, 뚜렷한 골절선이 보이거나, posterior cortex쪽에는 별다를 소견이 보이지 않았습니다.

sternum oblique view에서는 별다른 골절의심소견이 보이지 않았고, 환자는 좌측 늑골 아래쪽의 흉벽에 멍이 들어있으면서 해당부위에 통증을 호소하였지만, 정작 흉골부위에는 별다른 통증을 호소하지 않았습니다.
X선영상이나 임상증상이 뚜렷하게 진단을 내리기 어려운 상황이 되자 다음날 흉골의 초음파영상을 의뢰하였습니다.
흉골초음파영상에서는 매우 뚜렷하게 sternum upper body 부위의 transverse fracture와 함께 subperiosteal hemorrhage소견을 보여주었기에 골절을 확진할 수 있었던 사례입니다. 이렇게 뚜렷이 골절소견이 나왔을 뿐 아니라, 조금씩 흉골을 눌렀을 때 위 영상에서와 같이 아랫쪽 bone fragment가 움직이고 있어 불안정 골절임도 알 수 있습니다.
환자가 가장 아프다고 호소했고, 또 멍이 들어있었던 좌측 쇄골하 부위에는 좌측 2-3번 늑골과 costal cartilage가 위치해 있었지만, 늑골이나 늑골연골의 골절소견은 보이지 않았습니다.
흉골의 측면 단순촬영 영상에서 뒷쪽 cortex는 잘 연결되어 있는 것으로 보임에도 불구하고, 실제로는 뒷쪽 cortex까지 골절선이 연장되어 있었던 것입니다. 이렇게, 단순촬영 영상만 가지고는 흉골골절을 정확하게 evaluation하는게 어려운 경우를 저도 종종 겪고 있습니다.
특히, 이번 사례에서처럼 환자가 통증을 전혀 다른 곳에서 호소하고 있거나, 육안으로 보이는 멍이 다른 곳에 있는 경우도 존재하므로, 외상환자의 초음파 영상진단 시에는 환자가 호소하지 않는 부위라도 사고 시 발생한 injury mechanism을 고려하여 검사하는 것이 실수를 줄이는 데 유용한 선택이라고 생각합니다.