늑간근(intercostalis muscle) 손상의 초음파영상

00175372_US_20180131297_20180131_001

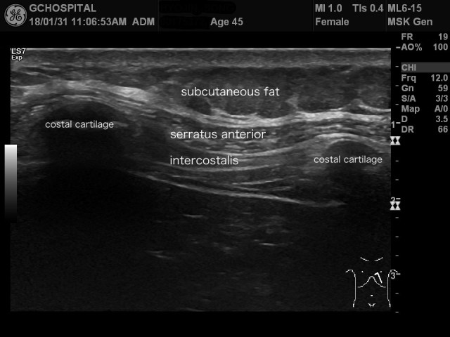
일단은 앞쪽 흉벽(anterior chest wall)에서 갈비뼈 사이의 구조물들을 초음파로 스캔하면 위와 같은 영상을 얻을 수 있습니다.

00175372_US_20180131297_20180131_002

흉골에서 멀지 않은 늑골-연골 접합부(costochondral junction)에서 스캔한 영상이라 늑골 대신 내부에 일부 골화가 진행된 늑연골(costal cartilage)이 보이고, 늑골-연골 접합부 사이에는 늑간근이, 앞쪽으로는 serratus anterior muscle이 보입니다.

어지간히 뚱뚱하거나 초음파검사가 어려운 상황이 아니라면, 위의 영상에서처럼, 초음파로 늑간근의 세 층, 즉 external/internal/inner moste layer를 확인하는 것도 가능합니다. 위의 영상에서도 세 층을 구분하고 있는 fascia가 linear line으로 확인되고 있습니다.

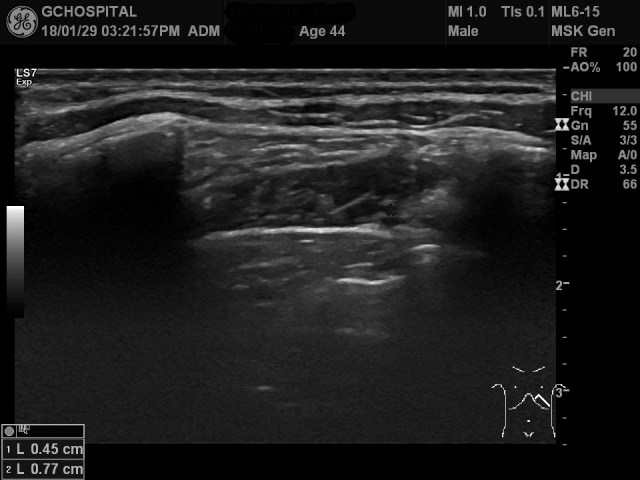
00249776_US_20180129472_20180129_001

위의 영상은 44세 남자환자가 운전 중 교통사고로 인해 왼쪽 가슴쪼에 통증을 느껴서, 갈비뼈 골절의 가능성을 확인하기 위해 시행했던 초음파영상입니다. 늑간근의 외층에는 별다른 이상소견이 없지만, 내층에는 국소적인 변화가 보입니다.

늑간근의 내층 중에서 아랫쪽 늑골과 인접한 부위의 에코가 주변보다 더 낮으면서 주변보다 근육 내부의 근섬유들 사이의 구분이 깨져있습니다.

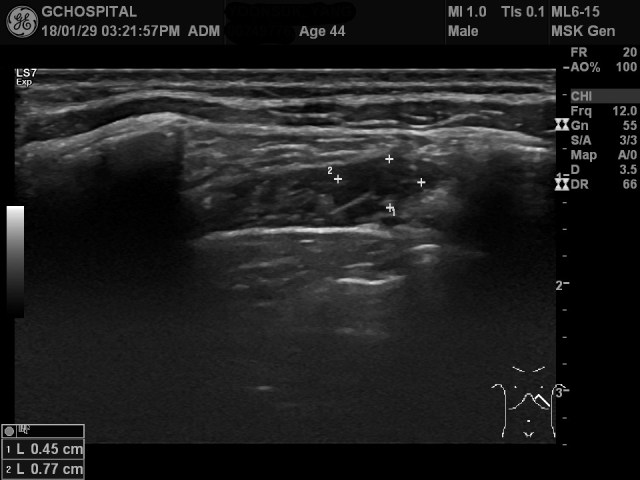
00249776_US_20180129472_20180129_001 1

모니터나 컴퓨터가 적절하게 세팅되있지 않으면 미세한 차이를 구분하기가 쉽지 않습니다. 쉽게 확인하지 못하신 분들은 앞서의 영상에서 주변보다 에코가 낮고 내부의 architecture가 잘 구분되지 않은 부위를 표시했으니, 이걸 보면서 비교해 보시면 차이가 있다는 것을 느끼실 수 있을 것입니다.

이 환자는 늑골 어디에도 골절소견이 없었으며, 이렇게 늑간근 내층(internal layer)에 국소적인 에코변화가 있는 부위와 일치하는 곳에 국소적인 압통(tenderness)을 호소하였기 때문에 교통사고 당시 받았던 손상이 앞쪽 흉벽 중에서도 늑간근에 국소적인 출혈 내지 근육손상을 일으킨 것으로 결론을 내리고, 검사 전에 했던 rib series와 chest PA view 외에 더이상의 영상검사는 추가로 시행하지 않았습니다.

늑골 골절의 발견율은 CT도 매우 우수하며, 단순X선영상(Rib series)은 가격이 싸고, 기흉같은 합병증을 금방 확인하는데 매우 유리한 영상검사입니다. 다만, 초음파영상은 이렇듯이 갈비뼈의 골절 말고도 늑간근이나 여타 흉벽의 다양한 근육들의 손상도 확인할 수 있다는 장점을 가지고 있습니다.

때문에, 늑골골절의 발견을 위해 초음파영상진단을 하는 경우에, 통증을 느끼는 부위에 늑골골절이 보이지 않는다면, 이렇게 늑간근을 비롯한 연부조직의 이상소견 유무도 같이 확인하는 것이 의미가 있는 시도라고 생각합니다.

늑간근(intercostalis muscle) 손상의 초음파영상”에 대한 1개의 생각

댓글 남기기