
이 환자는 넘어져서 좌측 늑골골절이 의심되어 초음파하신 87세 여자분으로, 늑골골절의 발견을 위해 초음파를 의뢰해서 시행했던 사례입니다. 늑골골절은 발견할 수 없었지만, 여전히 통증을 느끼고 있었기에 옆구리부위의 장기들에 손상이나 이상여부를 확인하기 위해 좌측신장을 보았습니다.
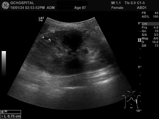
좌측 신장은 흉곽 안에 들어가 있어서 쉽게 확인이 되지 않은 상태였으며, 숨을 최대한 들이마신 상태에서도 흉곽 바깥쪽으로 다 나오지 않았습니다. 좌측신장의 가운데 부위가 검게 잘 보이지 않고 있는 이유는 늑골에 의해 발생한 음영에 의한 것입니다.
호홉을 조절해가면서 늑골에 의해 발생하는 음영을 피해 좌측신장을 확인하면서 몇 개의 작은 단순낭종을 발견했고, 위 영상은 그 중 윗부분에 존재했던 직경 8미리 정도의 낭종을 표시한 것입니다.

이러한 작은 단순낭종이 아래쪽에도 더 있을까 확인해보려 했지만, 좌측 신장이 흉곽 안에 들어있고, 환자분이 고령에 굉장히 깡마른 상태여서 시야가 잘 확보되지 않았습니다. 위 영상에서도 앞서와 비슷한 1센티미터 이하의 단순낭종이 신장 피막 바깥쪽으로 튀어나온 것이 보이지만, 이 외에도 좀 애매하게 안보이는 낭종들이 보여서 선형탐촉자를 갈비뼈 사이로 위치해서 더 확인해봤습니다.

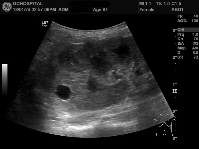
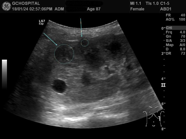
방금 전에 신장 피막 바깥쪽으로 보였던 단순낭종이 훨씬 더 뚜렷하게 보입니다.

문제는 맨 처음에 봤던 신장 윗부분에 있던 단순낭종입니다. 분명 8미리정도 크기의 단순낭종이 보이고, 그 위에는 다른 낭종이 없었는데, 선형탐촉자로 확인해보니, 앞서 보였던 8미리 크기의 단순낭종의 윗부분에 이보다 크기가 훨씬 더 큰 낭종성 병변이 보이는 겁니다. 뭔가 상황이 이상하게 돌아가고 있습니다. 이 외에도 더 작은 낭종들이 추가로 보이고 있습니다.
분명히 신장의 윗쪽부위도 확인했다 생각했는데, 이런 정도로 큰 낭종이 보이지 않았기에 이상해서 해당 낭종을 더 자세히 들여다보았는데, 더 황당하게도 이게 낭종이 아닌 비교적 고형성 종괴였던 겁니다. 크기는 2.5센티미터 정도였습니다.

환자는 흉벽에 꽤 심한 통증을 호소하고 있었기 때문에 누워있는 자세에서만 신장을 확인했기 때문에 이런 병변을 놓쳤을지도 모른다는 판단을 했고, 이번에는 아프더라도 참으라고 당부한 다음 Rt. decubitus position에서 다시 복부초음파에 사용하는 curvilinear probe를 사용해서 앞서의 종괴와 8미리 크기의 단순낭종이 있던 부위를 스캔한 게 위 영상입니다(마커에서는 누워있는 상태로 표시됬지만, decubitus position에서 스캔한 영상입니다).
앞서 봤던 8미리크기의 단순낭종은 희미하게 보이지만, 앞서 보였던 2.5센티미터 크기의 고형성 종괴는 여전히 뚜렷하게 확인이 되지 않고 있습니다.

앞서 선형탐촉자에서 보였던 고형성종괴와 단순낭종의 위치는 위 영상에서 파란색 원으로 표시한 부위쯤이 되겠습니다. 이걸 알고 다시 바로 위의 영상을 보면 어느정도 병변이 있을 가능성을 짐작하는건 가능합니다.
여기서 먼저 반성하고 넘어갈 부분이 있습니다. 제가 초음파검사를 하면서 해당 병변이 위치하고 있는 쪽에 정확히 focus를 조정하고, 해당 병변이 위치하는 쪽에 depth를 맞춰서 확대한 영상으로 봤더라면 굳이 curvilinea probe라 하더라도 2센티미터 넘는 병변을 못보고 놓치는 일은 없었을지도 모른다는 점이지요.
그리고, 가장 처음 상황, 즉 누워있는 상태에서 좌측신장을 스캔한 맨 위의 영상을 보면, 우측신장의 윗부분에 신실질이 잘 구분이 되지 않고 있음에도 이렇게 신피질 및 수질 사이의 경계가 지워지지 않은 상황에서 별다른 경각심 없이 넘어갔다는 것도 반성해야 했다고 봅니다.
좌측신장의 고형성 종괴가 발견되었기 때문에 환자는 곧바로 CT를 촬영했습니다. 조영증강 전에도 높은 감쇄도를 보이는 hyperdense mass가 보였고, 조영증강 후에는 50HU이상의 조영증강을 보이고 있었기에 악성 신세포암의 가능성을 배제할 수 없어 대학병원으로 전원시키게 되었습니다.
초음파를 하면서 이렇게 병변을 놓치기 쉬운 경우들을 보면 굉장히 뚱뚱한 경우보다는 이 분처럼 깡마르면서도 피부에 탄력이 없는 악액질(cachectic) 체형에서 실수할 가능성이 훨씬 높은게 제 경험입니다. 항상 조심하고, 귀찮더라도 다양한 자세에서 영상을 시도하고, focus나 depth, frequency등의 여러 parameter들을 적극적으로 바꿔가면서 확인하는게 실수를 줄일 수 있는 가장 확실한 방법이라고 생각합니다.