
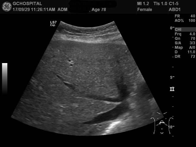
이번 사례는 78세 남자환자로, 담낭절제술을 시행했던 환자부의 간초음파영상입니다. 간 좌엽에는 별다른 병변이 보이지 않았고, 확인하지 못한 부위도 없었습니다.

그런데, 간 우엽의 지붕부위는 제대로 확인하지 못한 부분이 존재합니다. 위 영상이 간의 지붕부위를 찍은 영상이지만, 지붕부위의 일부분이 잘려있습니다. 누워있는 자세와 좌측 측와위자세에서 시도해봤지만, 이보다 위쪽을 보는데 어려움이 있었습니다.
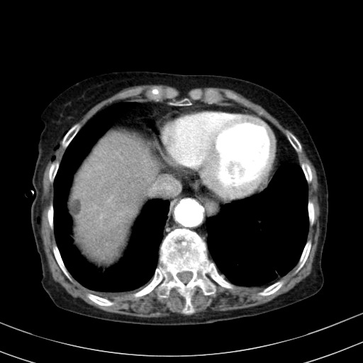
그런데, 이 환자는 초음파영상을 하기 며칠 전에 우상복부의 불편한 느낌과 약간의 압통을 호소하여, 담도결석의 재발 여부를 확인하기 위해 CT를 촬영했던 상태였습니다. 해당 CT 영상에서 간 우엽에 간내석회화와 단순낭종의 존재를 이미 발견해서 알고 있었던 상태였습니다.

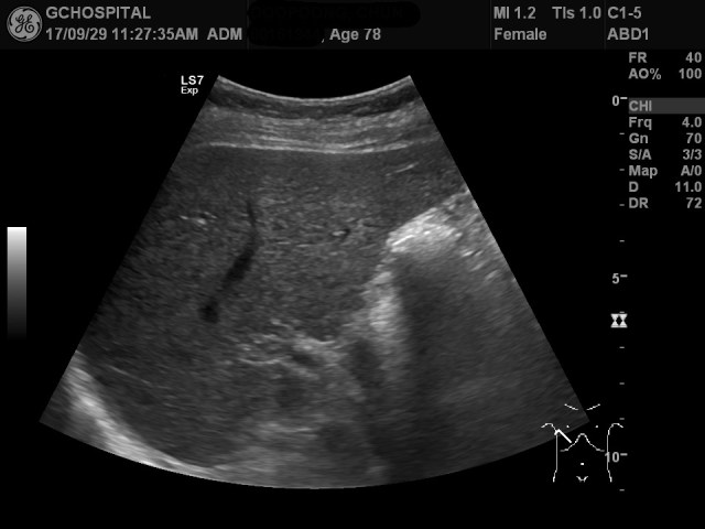
원래 초음파영상을 시행하기 전부터 해당 병변이 있다는 사실을 알고 있었음에도 간내석회화나 간낭종 여부를 확인하는게 어려웠던 겁니다.

마지막까지 간의 지붕부위를 보기 위해 노력해서 얻은게 위 영상입니다. 간의 지붕부위가 여전히 잘 그려지지 않을뿐 아니라, 앞서 CT에서 보였던 1센티미터 크기의 낭종도 보이지 않습니다. 간내석회화는 하나를 찾아서 표시를 했지만, 이 병변이 정말로 석회화음영인지 또한 후방에코음영이 보이지 않으므로 확실하다고 할 수 없는 상황입니다.
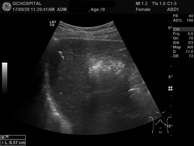
이 검사를 한 때는 작년 상반기였습니다. 이처럼 좌측측와위 자세에서 갈비뼈 사이로 탐촉자를 위치하는 것만으로는 간의 지붕부위 및 간우엽을 제대로 보는게 어려웠던 사례가 종종 있었기 때문에 지금처럼 좌측 측와위 이외의 다양한 자세를 시도하게 되었습니다.