
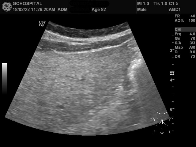
이 환자는 82세 남자환자로서 예전부터 간기능수치가 매우 높았던 만성간질환 환자로 내워해서 초음파영상을 시행하였습니다. 위의 영상처럼 매우 거칠고 고에코의 간실질이 확인되므로 만성간염 내지 간경화초기의 가능성을 생각할 수 있습니다. 간좌엽의 anterior surface가 약간 우둘투둘해보이지만, 4.0MHz의 낮은 frequency로는 liver surface를 정확히 관찰하는게 불가능합니다. 이 환자는 복수나 비장종대, varix같은 간경화에서 동반되는 다른 소견들은 보이지 않았습니다.

위는 12MHz frequency linear probe를 통해 간 좌엽을 스캔한 영상입니다. 일견 보기에는 간표면이 매끄럽고, 별다른 문제가 없어보입니다.

하지만, 이를 좀더 확대해보면, 간 피막의 윤곽이 울퉁불퉁하게 요철이 보이고, 왼쪽 영역에선 focal nodularity도 확인할 수 있습니다.

다른 부위에서 얻은 영상에서는 간 피막의 윤곽이 더 뚜렷하게 울퉁불퉁해보입니다.

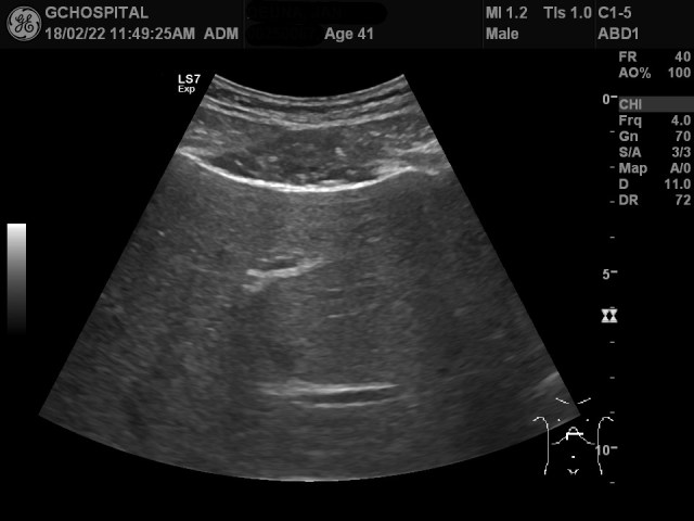
반면, 위 영상은 간에 별다른 이상이 없이 건강검진을 위해 내원한 환자의 간초음파영상입니다.


9MHz frequency의 선형탐촉자로 본 liver surface영상인데, 앞서와는 달리 매끈한 간 피막을 확인할 수 있습니다.