발목의 바깥쪽에서 발목을 지지하는 인대는 세가닥이 있습니다. anterior talofibula ligament, calcaneofibular ligament, posterior talofibular ligament 이렇게 세가닥이죠. 발목을 삐었을 때 손상받기 쉬운 인대들이 이 세가지 인대이고, 특히 anterior talofibular ligament와 calcaneofibular ligament의 손상을 확인하는게 중요합니다.

좀 더 위쪽에는 경골과 비골을 고정시켜주는 anterior inferior tibiofibular ligament 및 posterior inferior tibiofibular ligament도 확인할 수 있으며, 발목 손상이 심하면 이들 인대들도 같이 손상을 받으므로 반드시 같이 확인해주는게 중요합니다.
그런데, 막상 발목초음파를 하다보면, 이런 인대들이 잘 안보이거나 손상여부를 쉽게 판단하기가 어려운 경우들이 있습니다. 발목손상이 심하면 주변의 연부조직이 붓거나 출혈 때문에 시야가 좋지 않기 때문입니다.
여기에 더해 경험이 부족해서 정확한 자세를 취하지 않아서 잘 안보이는 경우도 있는데, anterior talofibular ligament는 plantarflexion 한 상태에서, calcaneofibular ligament는 dorsiflexion을 취한 상태에서 검사하는게 영상의 질을 향상시키는데 도움이 됩니다.


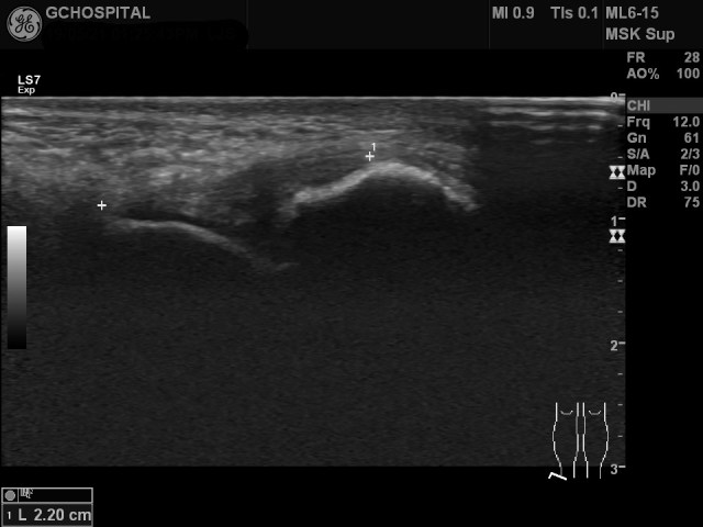
실제로 anterior talofibular ligament가 발목을 어떻게 구부리는가에 따라 길이가 변하는지 초음파영상에서도 확인할 수 있습니다. 인대를 더 길게 늘인 상태에서 관찰해야 인대 자체의 확인도 쉽고, 인대의 손상여부도 민감하게 확인할 수 있습니다.


Anterior talofibular ligament는 위와 같이 platarflexion한 상태에서 훨씬 더 잘 관찰할 수 있는 반면, calcaneofibular ligament는 반대로 dorsiflexion 시 더 길어지고, 잘 보입니다.



