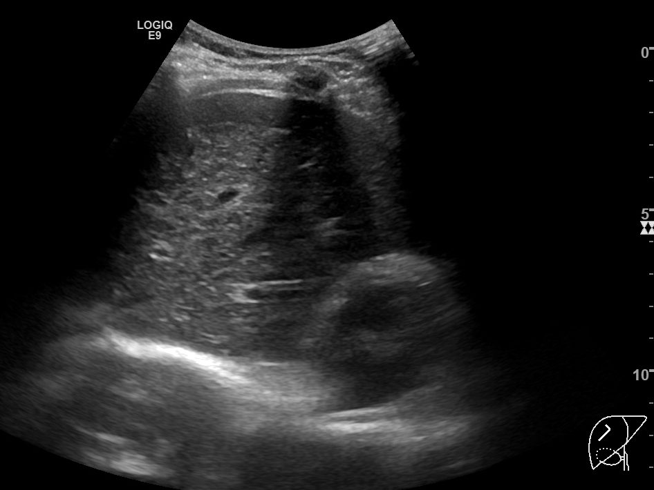
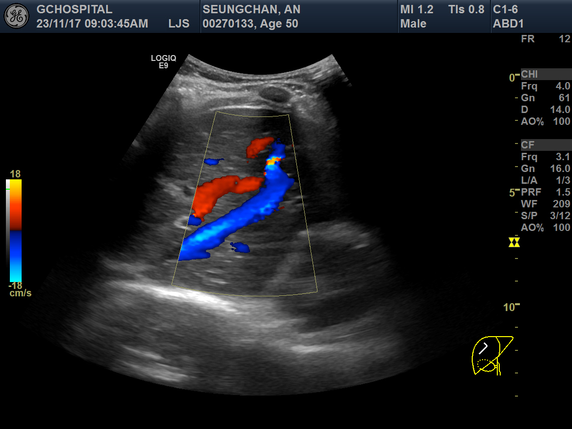
위의 두 영상은 간초음파에서 우간정맥(Rt. hepatic vein)의 장축을 따라 얻은 B모드 및 컬러도플러 영상입니다. 간실질 에코가 매우 거칠고 불균일한 만성 간질환 환자인데, 도플러영상에서 장축 전체에 걸쳐 뚜렷하게 확인할 수 있는 우간정맥이 B모드영상에서는 희미하게 일부분만 보입니다. 심지어 확인되는 부분도 컬러 도플러영상에서 보이는 것보다 훨씬 가늘어보이죠.
반면, 혈류가 반대방향이어서 빨갛게 보이는 간문맥(Rt. portal vein)의 경우는 B모드 영상에서도 간문맥 벽이 뚜렷하게 보일 뿐 아니라, 굵기도 컬러도플러 영상에서 확인되는 것과 별로 큰 차이가 나지 않습니다.
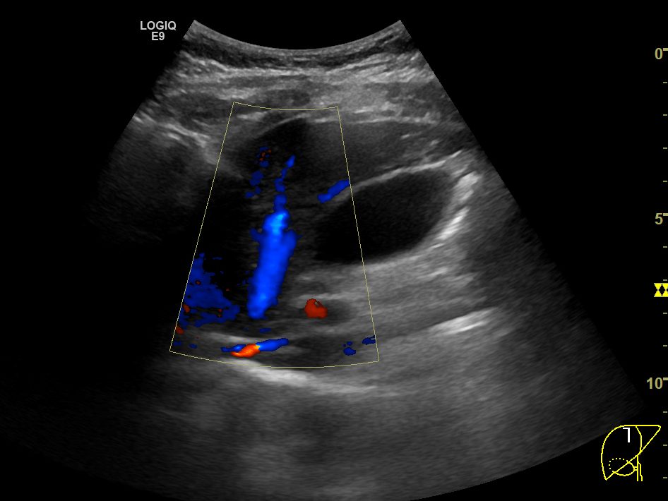
다음으로 중간정맥(middle hepatic vein)의 B모드 및 컬러도플러영상입니다. 컬러도플러영상에서 또렷하게 보이는 중간정맥이 B모드영상에서는 마찬가지로 매우 가늘고 희미하게 보입니다. 컬러도플러 영상에서 보여주는 중간정맥의 굵기가 실제 직경과는 차이가 있겠으나, B모드에서 보이는 것보다는 훨씬 직경이 클 것으로 보이며, B모드영상에서는 전혀 확인할 수 없었던 가지부분들도 컬러도플러영상에서는 또렷하게 확인됩니다.
간초음파를 시행하면서 확인해야 하는 표준영상 중에는 우간정맥의 장축을 포함하는 영상이 포함되어있습니다. 마찬가지로 간좌엽의 시상면영상을 확인할 때에도 좌간정맥(Lt. hepatic vein)이 포함되어 촬영하는 게 보통입니다. 그렇게 간정맥을 확인하는 과정에서 위와 같이 간정맥이 잘 보이지도 않고, 실제 직경보다 훨씬 작게 보이는 이런 현상은 현장에서는 굉장히 흔한 현상입니다.
B모드영상에서 간정맥이 실제보다 훨씬 얇고 희미하게 보이거나, 아예 잘 보이지 않는 이유는 간정맥의 혈관벽이 얇아서 초음파신호가 반사되지 않아 영상에서 혈관벽을 특정할 수 없기 때문입니다. 특히 간실질의 에코음영이 거칠거나 간섬유화가 심하게 진행된 만성 간질환 환자들에서 간정맥을 확인하지 못하거나, 굉장히 가늘게 보이는 경우가 많습니다.
사실, 간정맥이 가늘고 수축되어보인다고 해서 특정한 질환의 가능성을 의심해야 하는 상황은 거의 없습니다. 간정맥이 크게 늘어나는 울혈성 심부전증이나 간정맥 내 혈전이나 막을 확인할 수 있는 버드-키아리 증후군 등과 달리, 간정맥의 수축이 특정질환의 특징적인 소견으로 지목되지는 않기 때문이지요. 하지만, 간정맥과 같이 엄연한 해부학적 구조물조차 제대로 확인하기가 어려워진다면 간초음파의 영상 질에 대한 확신이 어려워질수도 있을겁니다.
위의 영상들은 모두 GE사의 logiq E9 장비를 통해 얻은 영상입니다. 혹시 몰라 tissue harmonic image모드를 꺼놓거나, 다른 영상옵션들을 조절해봐도, 간정맥이 실제보다 가늘거나 희미하게 보이는 환자분들에서 일반적인 B모드영상보다 간정맥을 더 또렷하게 보여주는건 불가능했습니다. 지난 17년 내내 GE사의 초음파장비만을 써와서 타사 장비들의 상황을 비교해보지 못했지만, 어쨋던 GE사의 장비들 만큼이라도 이런 한계점을 극복해서 더 나은 영상을 담보할 수 있게 발전했으면 좋겠습니다.
그런 장비의 발전과 진보가 있기 전까지는 간초음파의 표준영상을 얻는 과정에서 간정맥, 특히 우간정맥의 장축을 보여주는 영상을 촬영할 때에는 좀 더 번거롭더라도, 컬러도플러영상을 함께 촬영하면서 우간정맥을 확인하는 것도 좀 더 신뢰할만한 간초음파영상을 얻기 위해 권장될 수 있겠다는 생각입니다.




선생님의 글중에서 ‘늑간근(intercostalis muscle) 손상의 초음파영상’라는 글을 읽었습니다. 오랫동안 지속해 온 잘못된 습관으로 인하여, 흡기시에 5번-6번 늑연골 사이에 두꺼운 고무판이 있는 것처럼 느껴지고 답답합니다.
제가 해왔던 잘못된 습관과 증상으로 미루어 볼 때 5번-6번 늑연골 사이의 내늑간근이 문제인 것 같습니다.
정형외과에 가보니 초음파로는 늑간근을 볼 수 없고 MRI를 찍어 보아야 한다고 합니다. MRI는 비용이 너무 부담스럽니다.
선생님의 글을 보면 초음파로도 늑간근을 잘 보시는 것 같습니다.
선생님께 진료를 받아보려면 어떻게 해야 하나요??
또, 흡기시 5번-6번 늑연골 사이가 답답하고 잘 벌어지지 못 하는 것 같은데 내늑간근이 많이 긴장이나 단축되어 있다든지 너무 두껍다든지 등의 문제를 확인할 수 있을까요???
명백한 증상만 있는 상태인데 객관적인 증거를 남기고 싶습니다.
도와주세요!!
늑간근이 완전히 찢어졌거나 출혈이 있는 등의 급성 손상을 확인하는건 쉽지만, 만성 통증을 초음파영상으로 확인하는건 어렵습니다.
MRI로 확인하는것도 마찬가지입니다. 만성적인 근육통을 일으키는 병리기전들을 mri나 초음파등 영상검사로 이상소견을 발견하기 어렵습니다.
영상검사에서 이상소견이 없는 경우라고 해도 임상적으로는 만성 통증에 대한 일반적인 치료를 시행하는 것에는 별다른 차이가 없기 때문에, 특별히 초음파나 mri가 큰 역할을 한다고 보기도 어렵습니다.
감사합니다 !!
선생님의 글중에서 ‘늑간근(intercostalis muscle) 손상의 초음파영상’라는 글을 읽었습니다. 오랫동안 지속해 온 잘못된 습관으로 인하여, 흡기시에 5번-6번 늑연골 사이에 두꺼운 고무판이 있는 것처럼 느껴지고 답답합니다.
제가 해왔던 잘못된 습관과 증상으로 미루어 볼 때 5번-6번 늑연골 사이의 내늑간근이 문제인 것 같습니다.
정형외과에 가보니 초음파로는 늑간근을 볼 수 없고 MRI를 찍어 보아야 한다고 합니다. MRI는 비용이 너무 부담스럽니다.
선생님의 글을 보면 초음파로도 늑간근을 잘 보시는 것 같습니다.
선생님께 진료를 받아보려면 어떻게 해야 하나요??
1. 흡기시 5번-6번 늑연골 사이가 답답하고 잘 벌어지지 못 하는 것 같은데, 초음파로 내늑간근이 많이 긴장이나 단축되어 있다든지 너무 두껍다든지 등의 문제를 확인할 수 있을까요???
2. 어떤 검사들로 저의 문제를 객관적으로 증명할 수 있을까요???
명백한 증상만 있는 상태인데 객관적인 증거를 남기고 싶습니다.
글이 적어지지 않은 것으로 잘못 인식해서 같은 내용을 또 남기게 되었습니다. 죄송합니다!
답변 감사드립니다!!